来源:华夏病理网
简介:
众所周知,黑色素瘤在病理形态学方面可谓“百变魔君”,其中促纤维组织增生型黑色素瘤(desmoplastic melanoma,DM)又因其组织学表现独特而特别容易漏诊。近日,纪念斯隆-凯特琳癌症中心病理专家Busam在《Clin Dermatol》杂志撰文,详尽介绍了该肿瘤的临床及病理相关知识点。为帮助大家更好地了解相关信息,我们将该文要点编译介绍如下。
定义:
DM的定义是根据其显微镜下表现而来的:伴显著胶原性间质的浸润性(通常为无色素的梭形细胞)黑色素瘤。单纯型的病例中,该黑色素瘤为是纤维化、富于间质的,且肿瘤细胞少;而混合型者并不总是细胞稀少,此时可能肿瘤的一部分细胞更多、更致密、和/或并不伴纤维性间质。
临床表现:
对于所有黑色素瘤来说,促纤维组织增生型者占比<4%。该肿瘤一般见于老年人长期日晒损伤的皮肤,尤其是白皮肤者;但可发生于任何部位、任何种族,甚至可以见于年轻人。儿童的DM一般与DNA修复缺陷(如着色性干皮病)有关。
如临床在棕色斑块内发现坚硬的丘疹或硬结时、尤其此前曾活检诊断为恶性雀斑样痣的情况下,则可怀疑DM。表面不伴色素沉着的情况下,临床识别出DM还是很有挑战性的。无色素性病例常被误判为瘢痕、纤维瘤、囊肿。活检时肿瘤一般已经深度浸润。皮肤镜检出黑色素瘤相关的血管模式,可能会有助于考虑到DM。
DM不仅在临床上比大多数经典黑色素瘤更难检出,其临床行为也有所不同:前者更容易出现真皮或皮下的持续性生长、局部复发率高,但转移至局部淋巴结的几率低,至少在单纯型DM是这样的。
组织病理学特征:
DM的特征是伴纤维性间质的浸润性黑色素瘤。纤维性间质一般是胶原性的,但偶见为纤维黏液样。HE染色切片低倍镜下,第一印象一般是弥漫性粉染的纤维性病变,提示可能是瘢痕或纤维瘤。高倍镜下则有浸润性的肿瘤细胞。单纯型DM中,肿瘤细胞稀少,为散在的纺锤形纤维母细胞样梭形细胞,散在于大量纤维性间质中。
约2/3的DM可见伴有原位黑色素瘤,后者一般为恶性雀斑样痣型,但表浅播散或肢端黑色素瘤中的浸润性肿瘤细胞也可呈促纤维组织增生特征。罕见情况下,DM会伴有痣。浸润性DM一般为无色素性、梭形,但部分(混合型)病例中可能会有相当比例的上皮样黑素细胞。(黑素细胞和/或巨噬细胞内的)黑色素颗粒也可见于真皮的表浅部分。
大多数DM病例中,确诊时已侵犯深部的真皮网状层、和/或皮下组织。切除时浸润成分仍局限于真皮浅层的情况仅为罕见。这类表浅的肿瘤一般是原位黑色素瘤活检或切除时意外发现。DM中一般常见神经周围浸润,尤其发生于头颈部者。肿瘤周边累及多个小神经分支时,这一现象称为亲神经性(neurotropism)。
单纯型DM
单纯型DM中,肿瘤细胞稀疏,也就是说黑素细胞的密度低、大量成分为胶原性间质。黑素细胞主要为散在的孤立性单位,伴纤维母细胞样或神经瘤样特征。上皮样细胞并无簇状表现或致密束状结构。瘤细胞的形态学可相对温和,但至少常见少数细胞核深染、拉长的黑素细胞。核分裂一般难以查见。淋巴细胞簇一般见于真皮网状层的中部至深部、或皮下组织。


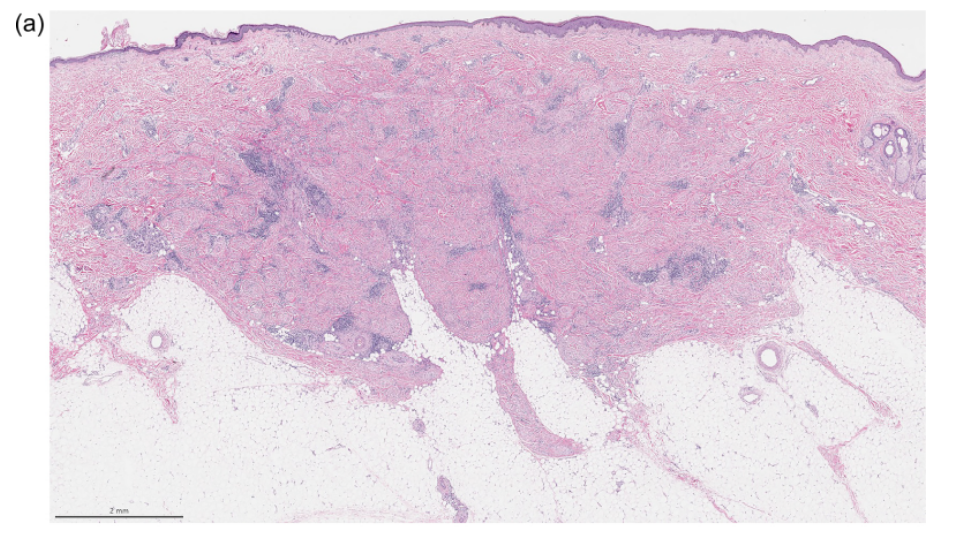
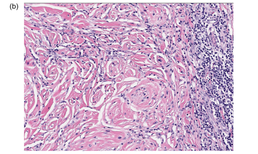
图1.促纤维组织增生型黑色素瘤,单纯型。(A)图示真皮内和皮下有粉染的纤维性区域,伴簇状淋巴细胞;(B)纤维母细胞样梭形黑素细胞,散在于纤维性间质内,周边有簇状淋巴细胞。
混合型DM
混合型DM中,仅部分肿瘤有单纯型DM的特征,而其他部分则并无相关特征。具体如经典的表浅播散型、或肢端型黑色素瘤中可能会有部分促纤维组织增生型浸润性成分;还有一种情况是:其他方面均为单纯型DM,但有一处或数处继发性富于细胞的结节、或细胞丰富区域。
所谓的混合型DM也可用于细胞弥漫增多的梭形细胞型黑色素瘤伴少许间质促纤维组织的情况。其实这种情况更精确的名称应为细胞密度高的DM,但从实际工作的角度可以将其归为混合型DM。如果肿瘤细胞为致密束状、或簇状,但其间并无纤维性间质,则不能被归为单纯型DM。“单纯型”的命名应限于间质均一、富于细胞的单纯型黑色素瘤。


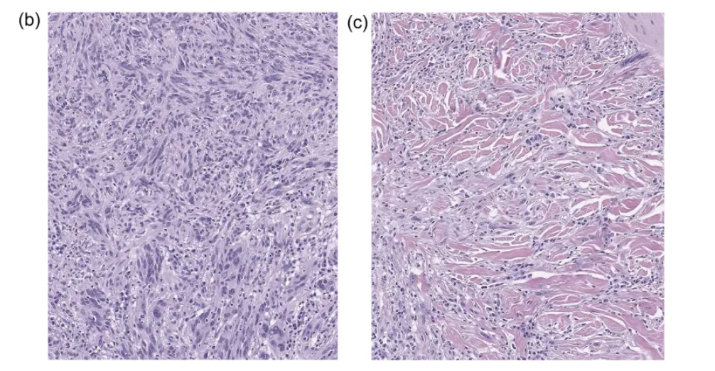
图2.促纤维组织增生型黑色素瘤,混合型。(A)真皮和皮下组织中可见相当大范围的无色素性、梭形细胞肿瘤;该肿瘤深部可见致密簇状肿瘤细胞;(B)富于细胞的区域高倍镜下可见非典型肿瘤细胞;此处未见间质的促纤维增生表现;(C)该肿瘤的另一部分,细胞密度较低,表现为纤维性间质内的单个肿瘤细胞和散在淋巴细胞。
混合型DM中,细胞密度较高,一般细胞核非典型程度更高。常见多形性上皮样黑素细胞及核分裂。
免疫组化:
S100P阳性,但不表达Melan-A/Mart1、酪氨酸酶、MiTF、HMB-45。如果肿瘤细胞表达后面这些标记,一般是表皮内的肿瘤细胞(原位黑色素瘤)和真皮浅层的个别浸润性肿瘤细胞。S100P和/或SOX10对于DM和瘢痕、纤维瘤、梭形细胞癌、肉瘤的鉴别尤其重要。
混合型DM中,非纤维组织增生型肿瘤成分可能会表达Melan-A/Mart1、酪氨酸酶、MiTF、HMB-45,主要是呈上皮样细胞形态的时候、罕见的未分化DM可能会不表达所有黑素细胞标记,包括SOX10或S100P,也可仅为极轻微的阳性。
分子特征:
长期日晒损伤处皮肤的经典型DM以高突变负荷为特征,常见突变有NF1、TP53、NFκB抑制因子epsilon。发生于无显著日光性弹力纤维变性的年轻患者的DM突变较少。DM一般并没有BRAF V600E突变。但伴部分促纤维组织增生型的混合型表浅播散型黑色素瘤、或伴有痣的DM除外。部分伴促纤维组织增生的结节性黑色素瘤也可有NRAS突变。
相比混合型DM来说,单纯型DM中的拷贝数异常更少见。拷贝数异常更多见于伴部分纤维组织增生的肢端黑色素瘤或黏膜黑色素瘤。因此,对于具体病例来说,目前可用于DM检测的实用细胞遗传学方法很少,因为其敏感性低。检测敏感性方面的类似局限性也适用于当前的基因表达分析。
参考文献
Busam KJ. Desmoplastic melanoma. Clin Dermatol. Published online September 10, 2024.
doi:10.1016/j.clindermatol.2024.09.005