来源:华夏病理网
子宫颈的中肾管腺癌为罕见的侵袭性肿瘤,主要与中肾管残余和/或增生有关。不过,子宫内膜和卵巢的癌中也有一类被称为中肾管样腺癌的病例,其形态学、免疫表型、分子特点都和子宫颈的中肾管腺癌相似,临床也有侵袭性,常表现为进展期,且容易出现肺转移。和子宫颈中肾管腺癌不同的是,中肾管样腺癌并不伴有中肾管残余和/或增生,但发生于卵巢时会伴有子宫内膜异位。
目前,发生于子宫的中肾管样腺癌已经被纳入了世界卫生组织女性生殖道肿瘤分类著作,具体列在“其他子宫内膜癌”章节。该肿瘤的组织形态学表现多样,具体如管状、腺样、梭形、实性、乳头状结构等,因为和子宫内膜样癌、浆液性癌、癌肉瘤存在形态学的重叠,因此可造成诊断困难。免疫组化方面,中肾管样腺癌阳性表达GATA3、TTF-1、CD10(管腔面着色)、calretinin,不表达ER、PR,这些都和子宫颈的中肾管腺癌相似。分子层面上,中肾管样腺癌也与子宫颈的中肾管腺癌具有相同特征:比如都有KRAS突变,微卫星稳定,常有1q的获得,这也是和其他类型子宫内膜癌的不同之处。有研究提出部分中肾管样腺癌会存在一般见于子宫内膜样癌的分子改变,比如PTEN突变和PIK3CA突变;但目前这一观点还有争议。虽然形态学、免疫组化和分子特征都提示中肾管样腺癌是中肾管/Wolffian管来源,但该肿瘤发生于子宫的内膜而不是肌层、加之与子宫内膜异位及苗勒型肿瘤有关,因此强烈支持为苗勒源性。
最近有研究发现,胚胎发育中的重要转录因子SOX17广泛表达于子宫内膜组织。作为一种转录调节因子,最近也有研究发现SOX17与卵巢癌有关,其表达模式和PAX8相似,可以下调下游诸多和细胞周期、组织形态发生相关的基因。除了卵巢癌外,SOX17还和子宫颈、子宫内膜的癌发生有关。因此已有研究提出SOX17可以作为女性生殖道癌的敏感、特异性标记。
不过,SOX17在中肾管样腺癌表达的情况尚没有相关研究。有鉴于此,美国俄亥俄州立大学病理专家Tahir和约翰霍普金斯大学病理专家邢德印老师等人研究了SOX17在卵巢和子宫内膜中肾管样腺癌中的表达,并探索了联合其他免疫组化指标来鉴别其他子宫内膜癌。目前相关文献已发表于《Histopathology》杂志。为帮助大家更好的了解相关知识点并应用于临床实践,我们将该文要点编译介绍如下。
研究内容及结果
该研究共计纳入17例俄亥俄州立确诊的发生于子宫内膜和卵巢的中肾管样腺癌病例,并从该文作者所在的相应单位、大致对应时间的存档病例中找出652例子宫内膜癌病例供对比研究。
免疫组化检测,这17例发生于子宫内膜和卵巢的中肾管样腺癌均弥漫、强阳性表达PAX8,程度不等的表达GATA3和TTF-1,CD10为管腔面着色,p16为散在阳性,p53野生型着色,ER、PR阴性,符合此前相关研究结果。
不过,这17个中肾管样腺癌病例的SOX17免疫组化均为完全阴性(n=10)或局灶弱/中等程度阳性(n=7);而其他类型的子宫内膜癌中,SOX17则几乎总是比PAX8着色更弥漫、更强的阳性。此外,所有病例均为TRPS1阴性。

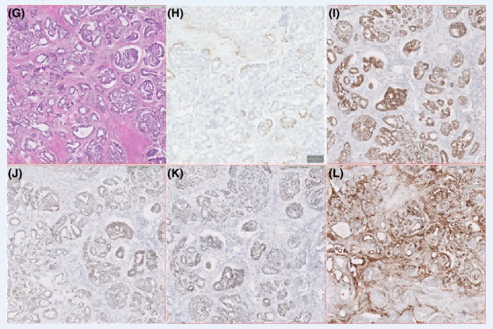
图1.中肾管样腺癌免疫组化实例:本例SOX17阴性(中上),PAX8弥漫阳性(右上)、TTF-1局灶强阳性(左下)、GATA3阴性(中下)、CD10局灶阳性(右下)。

图2.中肾管样腺癌免疫组化实例:本例SOX17极为局灶的弱阳性(中上),PAX8弥漫阳性(右上)、TTF-1阳性(左下)、GATA3阳性(中下)、CD10阳性(右下)。
对纳入研究的652例子宫内膜癌病例制作组织微阵列进行SOX17和PAX8免疫组化检测,大部分病例(88.%,578/652)二者均阳性;有45例(6.9%)为SOX17阳性、PAX8阴性;14例(2.1%)PAX8阳性、SOX17阴性,15例(2.3%)二者均阴性。
对SOX17阳性、PAX8阴性的45个病例详细分析,其中38例为子宫内膜样癌,6例为恶性混合性苗勒源性肿瘤,1例为混合性癌。对SOX17、PAX8均阴性的15个病例进行分析,2例为子宫内膜样癌,1例为浆液性癌,6例为恶性混合性苗勒源性肿瘤,4例为未分化癌,1例为其他。SOX17阴性、PAX8阳性的14个病例中,8例为子宫内膜样癌,1例为透明细胞癌,1例为恶性混合性苗勒源性肿瘤,3例为混合性癌,1例为其他。
对SOX17阴性、PAX8阳性的14个病例进一步分析形态学及其他免疫组化指标,结果发现7例(50%)可以被重新归类为中肾管样腺癌,即具有中肾管样腺癌的典型形态学特征、且CD10阳性、TTF-1阳性、GATA3阳性。这7例中,有5例临床表现为侵袭性行为,病变为进展期(有远处转移)。此外,这7个病例的PAX8为强阳性着色,而非中肾管样腺癌的病例中PAX8仅为弱阳性至中等程度阳性。有一例在组织微阵列中PAX8和ER强阳性、SOX17阴性,但全切片中PAX8和SOX17均为强阳性,考虑为肿瘤内异质性所致。
对前述重新诊断为中肾管样腺癌的7个病例和其他类型子宫内膜癌(包括子宫内膜样癌、浆液性癌、透明细胞癌、恶性混合性苗勒源性肿瘤、混合性癌、未分化癌等)中的SOX17、PAX8、ER进行分析比较,结果表明后者最常见的阳性标记为SOX17,而ER阳性几率最低。
结合临床信息进行分析,结果发现大部分肿瘤类型中SOX17和PAX8的阳性率是相似的,但下述两种情况除外:FIGO分期1期或2期的子宫内膜样癌中SOX17阳性率高于PAX8;中肾管样腺癌中PAX8阳性率高于SOX17。几乎所有类型的癌中,ER阳性率都要低于PAX8和SOX17的阳性率,但中肾管样腺癌除外:该肿瘤ER和SOX17都是阴性、或弱阳性。对相关标记的阳性比例和H评分进行比较,除中肾管样腺癌之外,本研究中其他所有类型的肿瘤中SOX17的阳性率及H得分都是最高的,而ER是最低的。

图3.子宫内膜样癌的免疫组化实例,SOX17阳性(第二列),PAX8极为局灶的弱阳性(第三列),ER极为局灶的弱阳性(第四列)。

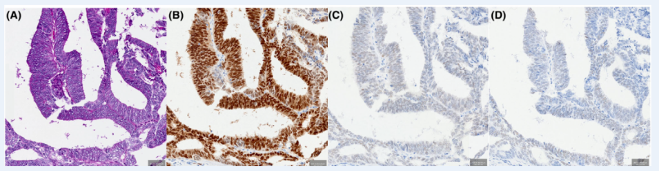
图4.浆液性癌的免疫组化实例,本例SOX17弥漫强阳性(第二列),PAX8阳性(第三列),ER局灶阳性(第四列)。

图5.透明细胞癌的免疫组化实例,本例SOX17强阳性(第二列),PAX8阳性(第三列),ER阴性(第四列)。

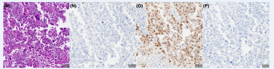
图6.中肾管样腺癌的免疫组化实例,本例SOX17阴性(第二列),PAX8强阳性(第三列),ER阴性(第四列)。
小结:
SOX17和PAX8在子宫内膜的中肾管样腺癌中表达不同,可能可以用于提高该肿瘤的诊断准确性。PAX8强阳性、加之SOX17阴性,可能可以作为中肾管样腺癌诊断的可靠标记。将这两项指标用于日常诊断,可以提高病理医师鉴别子宫内膜中肾管样腺癌和其他类型子宫内膜癌的能力。
参考w
Tahir M, Xing D, Ding Q, et al. Identifying mesonephric-like adenocarcinoma of the endometrium by combining SOX17 and PAX8 immunohistochemistry. Histopathology. 2025;86(2):268-277.
doi:10.1111/his.15312