来源:华夏病理网
引言:
随着病理研究的深入,我们逐渐认识到传统组织病理学在肿瘤分级、分类和预后评估方面存在局限性。过去十年间,分子标志物和肿瘤遗传学领域取得了飞速进展,这些进展也推动了分类系统的更新,这在软组织肿瘤体现的更为淋漓尽致:某些类型的软组织肿瘤从名称就已经体现出是分子特征的分类了,比如GLI1重排的间叶性肿瘤。
当然,分子分类也不是空中楼阁,它也和形态学及免疫组化无法彻底割裂。最近,中国的香港大学医学院病理专家Yeung等人在《Mod Pathol》杂志发表研究论文,报告了他们对6例GLI1重排间叶性肿瘤的多组学特征分析结果。为帮助大家更好的了解相关知识点并应用于临床实践,我们将该文要点编译介绍如下。
研究内容及结果:
纳入研究的病例来自合作单位的会诊病例,除临床病理相关信息的收集及常规检查检测外,其他涉及的检测方案还有DNA抽提、全外显子测序等。
共计6个病例纳入研究,男性4例,女性2例;患者年龄3岁至68岁不等,中位数为50岁;肿瘤大小2.5cm至10cm不等,平均5.8cm。病变所在部位涉及躯干及四肢(2例)、头颈部(2例)、胃肠道(2例)。所有病例均有随访信息,5例中位时间30个月(17.3-102个月)的随访中,未见病变证据;1例在81.5个月的时候死亡,且有局部淋巴结转移和双肺转移。
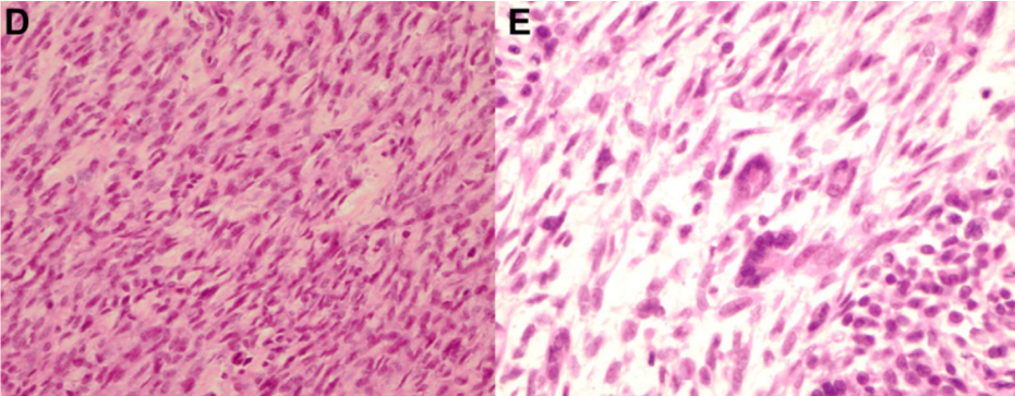
组织学上,该组肿瘤低倍镜下呈多分叶状。部分病例有囊性变和黏液样间质。瘤细胞形态均一,圆形至卵圆形,结构为梁状、小片状、簇状,伴纤细的纤维血管分隔。瘤细胞核形态单一,染色质细腻至斑点状不等,核仁不明显至小;胞质中等量,透明。部分区域梭形特征更为显著,细胞核形态温和。有一例可见大量多核巨细胞。也可见突入血管腔的表现。核分裂计数0-15个/10HPF不等。

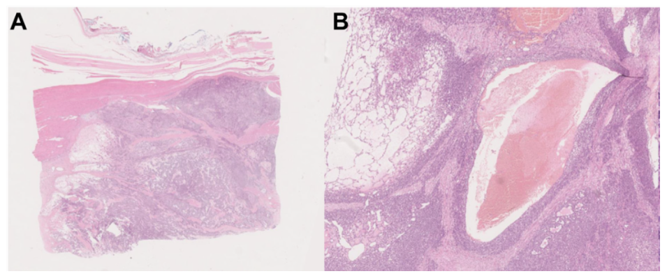
图1.GLI改变的间叶性肿瘤组织学特征:低倍镜下为多分叶状;部分伴囊性改变及黏液样间质。


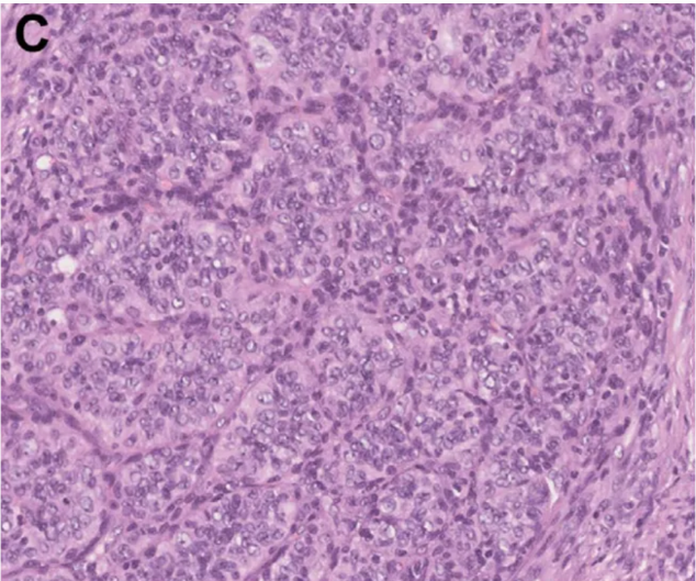
图2.瘤细胞形态均一,圆形至卵圆形,形成梁状、小片状、簇状,伴纤细纤维血管间隔。细胞核形态单一,染色质细腻至粗糙不等,核仁不显著至小,胞质中等量,透明。可见突入血管腔的表现。

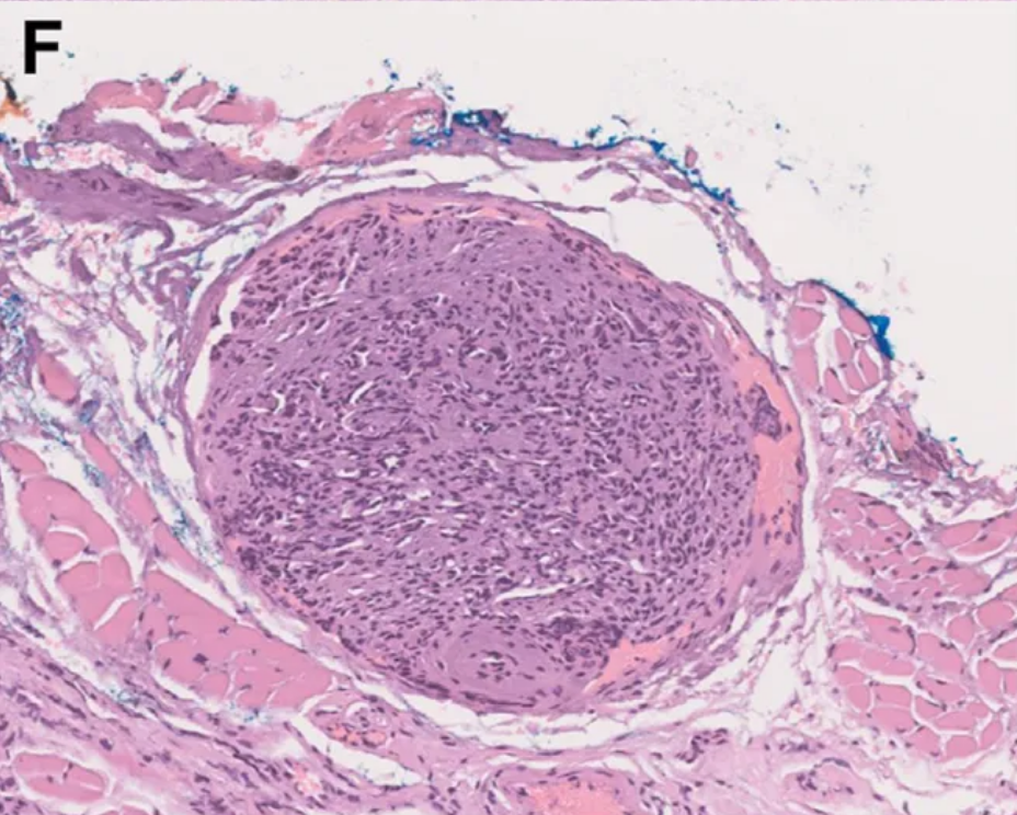
图3.部分病例可见梭形细胞,细胞核形态温和。有一例可见很多多核巨细胞。
免疫组化检测,所有做了相关检测的病例均阳性表达GLI1(n=4)、CD56(n=5)、cyclin D1(n=4);部分病例阳性表达SMA(3/6)、CD10(2/3)。所有做了相关检测的病例均不表达AE1/AE3(n=6)、CAM5.2(n=5)、CD 34(n=6)、STAT6(n=4)。前述伴显著多核巨细胞的病例细胞核弥漫阳性表达BCOR,因此最初被误判为伴BCOR遗传学改变的肉瘤,但FISH检测BCOR易位结果为阴性。

图4.GLI1改变的间叶性肿瘤免疫组化结果:一般GLI1阳性(A),CD56阳性(B);少数病例阳性表达SMA(C);(D)具有大量多核巨细胞的病例阳性表达BCOR。
分子特征方面,该组病例的特征是GLI1融合(5/6)和扩增(1/6);具体融合配体涉及ACTB(3/5)、TXNIP(1/5)、以及独特的TUBA1B(1/5;此前未见报道)。4例做了全基因组测序的结果如预期所料,具有GLI1扩增者也有MDM2、CDK4、DDIT3的扩增,这些基因都和GLI1基因相邻。多组学分析也表明,该组肿瘤在基因表达和表观遗传学特征方面不同于其他瘤种,具体可参阅原文。
将本文所述病例与文献中报道病例整合,作者对总计167例病例的临床病理特征进行分析,评估了可预测恶性行为的相关信息,结果发现:肿瘤≥6cm、核分裂计数≥5个/10HPF,是预测转移的指标;具有这两项高危特征的肿瘤预后显著更差。该分析还发现,该组肿瘤除了敏感性和特异性极高的表达GLI1外,其他常见阳性的标记物还有CD56、CD10、cyclin D1;部分病例还会表达S100、SMA、AE1/AE3。
小结:
就GIL1融合和GLI1扩增病例的比较来说,本文分析发现:GLI1扩增的肿瘤相对较小,更多见于四肢,核分裂更高。腹腔内的肿瘤主要为GLI1融合、而非扩增。GLI1融合与GLI1扩增病例之间,在局部复发、转移、死亡方面未见统计学差异。生存数据比较,结果发现GLI1扩增肿瘤相比GLI1重排肿瘤来说,前者的总生存数据显著更差;但无进展生存数据方面,二者无显著差异。
参考文献
Yeung MCF, Liu APY, Wong SI, Loong HH, Shek TWH. GLI1-Altered Mesenchymal Tumor-Multiomic Characterization of a Case Series and Patient-Level Meta-analysis of One Hundred Sixty-Seven Cases for Risk Stratification. Mod Pathol. 2025;38(1):100635.
doi:10.1016/j.modpat.2024.100635