
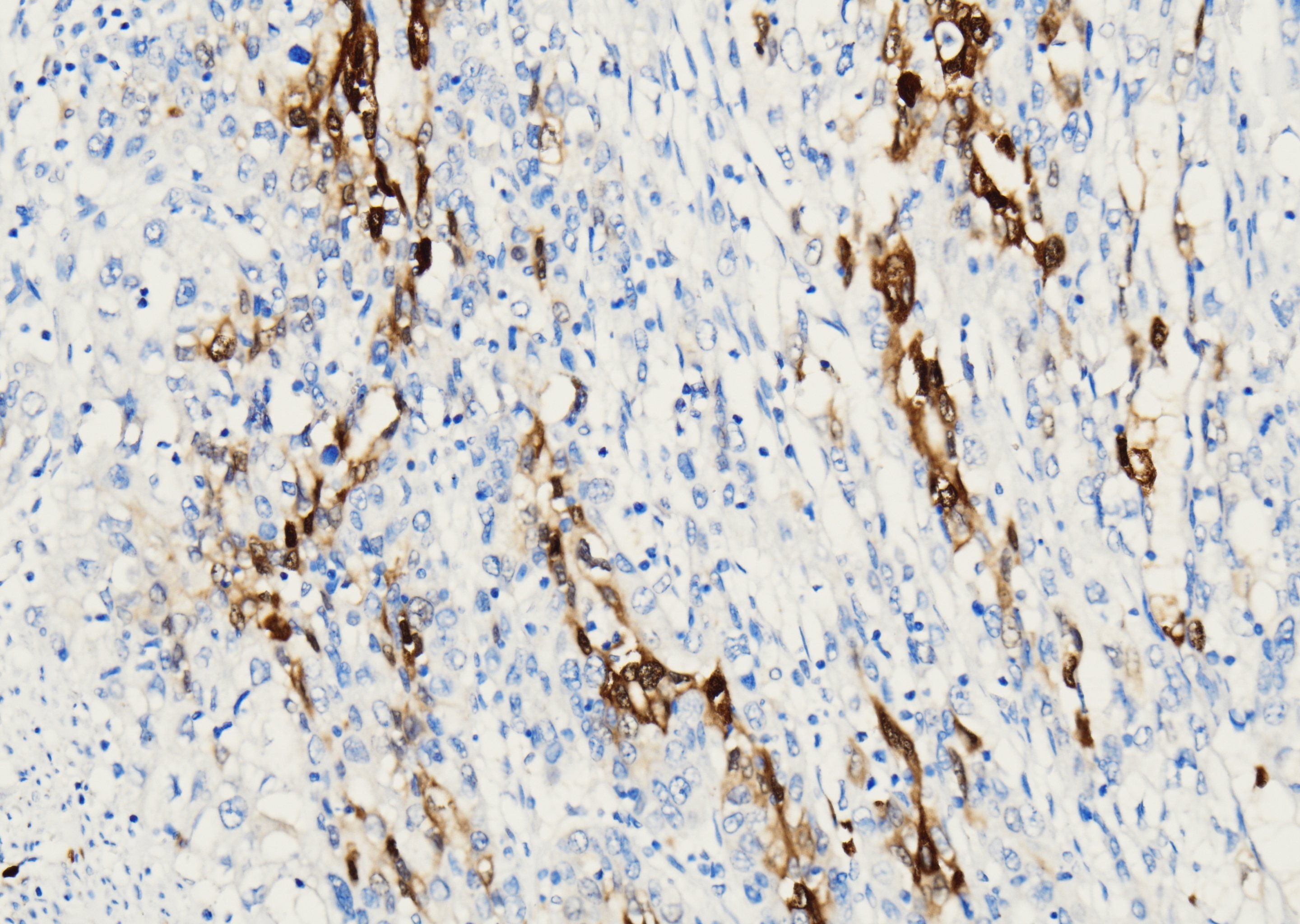
Nestin
Nestin(巢蛋白)是一种分子量为200kDa 的第VI类中间丝蛋白,在胚胎早期神经上皮干细胞、肌腱及神 经接头、胃肠道间质瘤、胃肠道神经鞘瘤中表达;在胃肠道颗粒细胞瘤不表达。Nestin可用于胃肠道间质瘤与平滑肌肿瘤的鉴别诊断、神经胶质瘤与黑色素瘤的辅助诊断。
参数
| 样本要求 | 福尔马林固定,石蜡包埋的组织切片;丙酮固定的冷冻切片 |
|---|---|
| 免疫原 | 人Nestin合成肽 |
| 细胞定位 | 细胞质 |
| 主要成分 | 鼠抗人Nestin免疫组化单克隆抗体,0.01M PBS,1%BSA,0.05%ProClin300 |
| 储存条件 | 2-8℃ |
| 有效期 | 24个月 |
| 规格(手工工作液) | 3mL/瓶;6mL/瓶 |
您需要任何帮助?
我们会尽快为您解决