
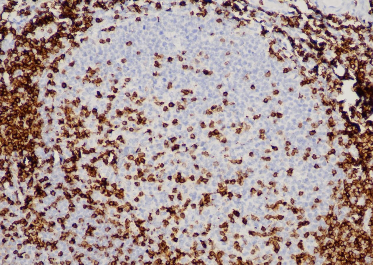
CD5
CD5是一种分子量为67kDa的糖蛋白,在正常淋巴结中,CD5主要位于T细胞区,表达于胸腺细胞、B细胞淋巴瘤。CD5 可用于慢性淋巴细胞性白血病和套细胞淋巴瘤的鉴别诊断,T淋巴母细胞白细胞、T细胞淋巴瘤的辅助诊断。
参数
| 样本要求 | 福尔马林固定,石蜡包埋的组织切片;丙酮固定的冷冻切片 |
|---|---|
| 免疫原 | 人CD5合成肽 |
| 细胞定位 | 细胞膜 |
| 主要成分 | 鼠抗人CD5免疫组化单克隆抗体,0.01M PBS,1%BSA,0.05%ProClin300 |
| 储存条件 | 2-8℃ |
| 有效期 | 24个月 |
| 规格(手工工作液) | 3mL/瓶;6mL/瓶 |
您需要任何帮助?
我们会尽快为您解决