
特点
超高速,超清晰
20*50 mm,20秒内完成
凭借专利阵列显微镜成像技术,可在20秒内完成对20*50 mm区域的扫描
20 mm试样厚度
Z-Stack和EDoF技术可实现精准成像和玻片扫描,确保厚度达2 mm的组织样本呈现均匀清晰的图像
基于网页的数字玻片管理
随时随地浏览
在常见的网页浏览器中,无需额外应用程序即可轻松查看、分析和分享数字玻片
随时随地存储
阵列硬盘本地存储大量WSI文件,可通过Google Drive或网络附加存储(NAS)实现便捷访问,以满足更高存储容量需求
随时随地访问
内置的数字幻灯片管理服务器提供安全的网络连接,支持通过各种授权的网络设备进行远程访问,包括智能手机、平板电脑、笔记本电脑和台式电脑
人工智能驱动的
高精度光学显微镜成像
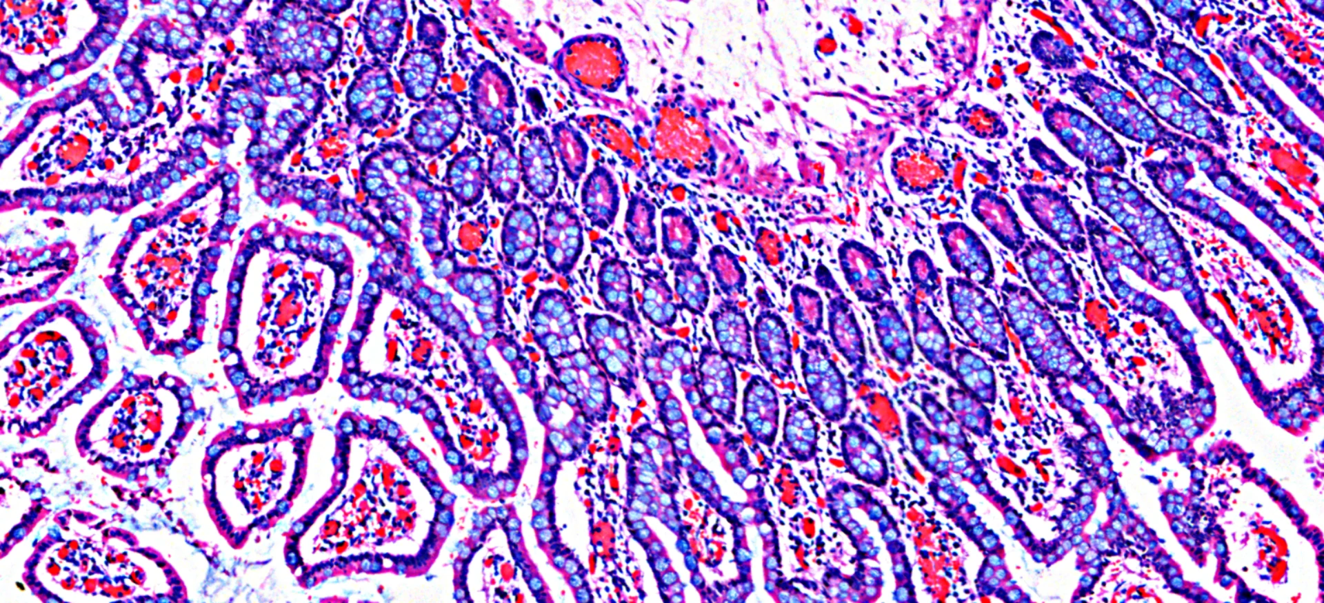
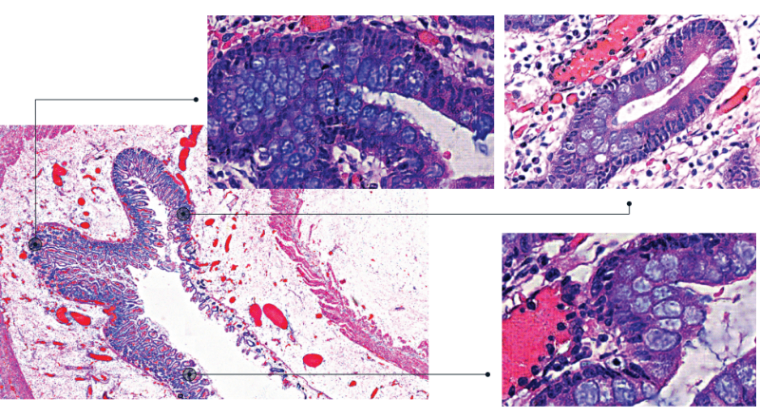
超高分辨率
基于深度学习的超分辨率显微镜技术通过微观光学放大,将阵列显微镜的成像质量提升至超越40倍物镜的水平,从而实现对细胞微结构的更清晰观察
参数
| 尺寸(宽*深*高) | 500*620*550 mm |
|---|---|
| 重量 | 约83 KG |
| 兼容的WSI格式 | DICOM / TIFF / SVS / JPEG / BMP / PNG |
| Z-Stack | 有 |
| 自动对焦 | 有 |
| 载玻片容量 | ≤30张 |
| 放大倍率 | 40× 等效 |
| 分辨率 | 0.179 μm/像素 |
| 扫描速度 | 20秒/片,20*50 mm |
| 兼容载玻片架 | 达科为 CS600 架(30 片) 徕卡 HistoCore Spectra 工作站架(30 片) 樱花 Prisma 染色机和封片机架(20 片) |
您需要任何帮助?
我们会尽快为您解决