
BRAF
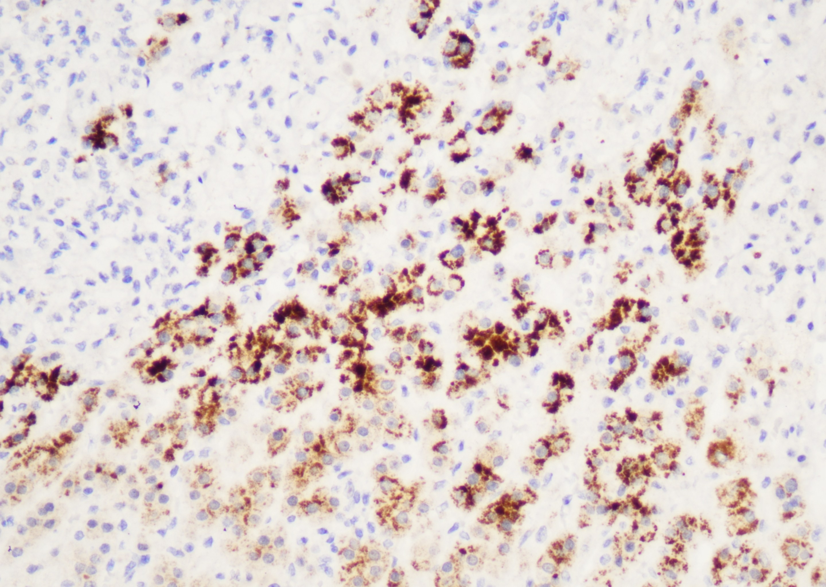
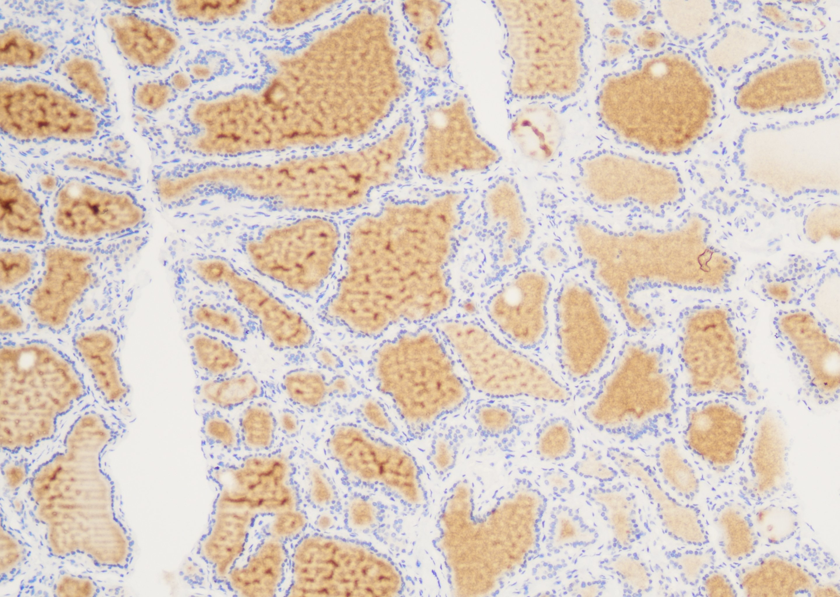
BRAF是丝氨酸/苏氨酸激酶,通过形成异源或同源二聚体活化参与细胞增殖。在神经组织、黑色素细胞以及睾丸和造血组织的细胞中均可见BRAF的高表达。
参数
| 样本要求 | 福尔马林固定,石蜡包埋的组织切片;丙酮固定的冷冻切片 |
|---|---|
| 免疫原 | 人BRAF合成肽 |
| 细胞定位 | 细胞质 |
| 主要成分 | 鼠抗人BRAF免疫组化单克隆抗体,0.01M PBS,1%BSA,0.05%ProClin300 |
| 储存条件 | 2-8℃ |
| 有效期 | 24个月 |
| 规格(手工工作液) | 3mL/瓶;6mL/瓶 |
您需要任何帮助?
我们会尽快为您解决

BRAF是丝氨酸/苏氨酸激酶,通过形成异源或同源二聚体活化参与细胞增殖。在神经组织、黑色素细胞以及睾丸和造血组织的细胞中均可见BRAF的高表达。
| 样本要求 | 福尔马林固定,石蜡包埋的组织切片;丙酮固定的冷冻切片 |
|---|---|
| 免疫原 | 人BRAF合成肽 |
| 细胞定位 | 细胞质 |
| 主要成分 | 鼠抗人BRAF免疫组化单克隆抗体,0.01M PBS,1%BSA,0.05%ProClin300 |
| 储存条件 | 2-8℃ |
| 有效期 | 24个月 |
| 规格(手工工作液) | 3mL/瓶;6mL/瓶 |
我们会尽快为您解决
我们很高兴为您解答疑问。
电话:13510383615