
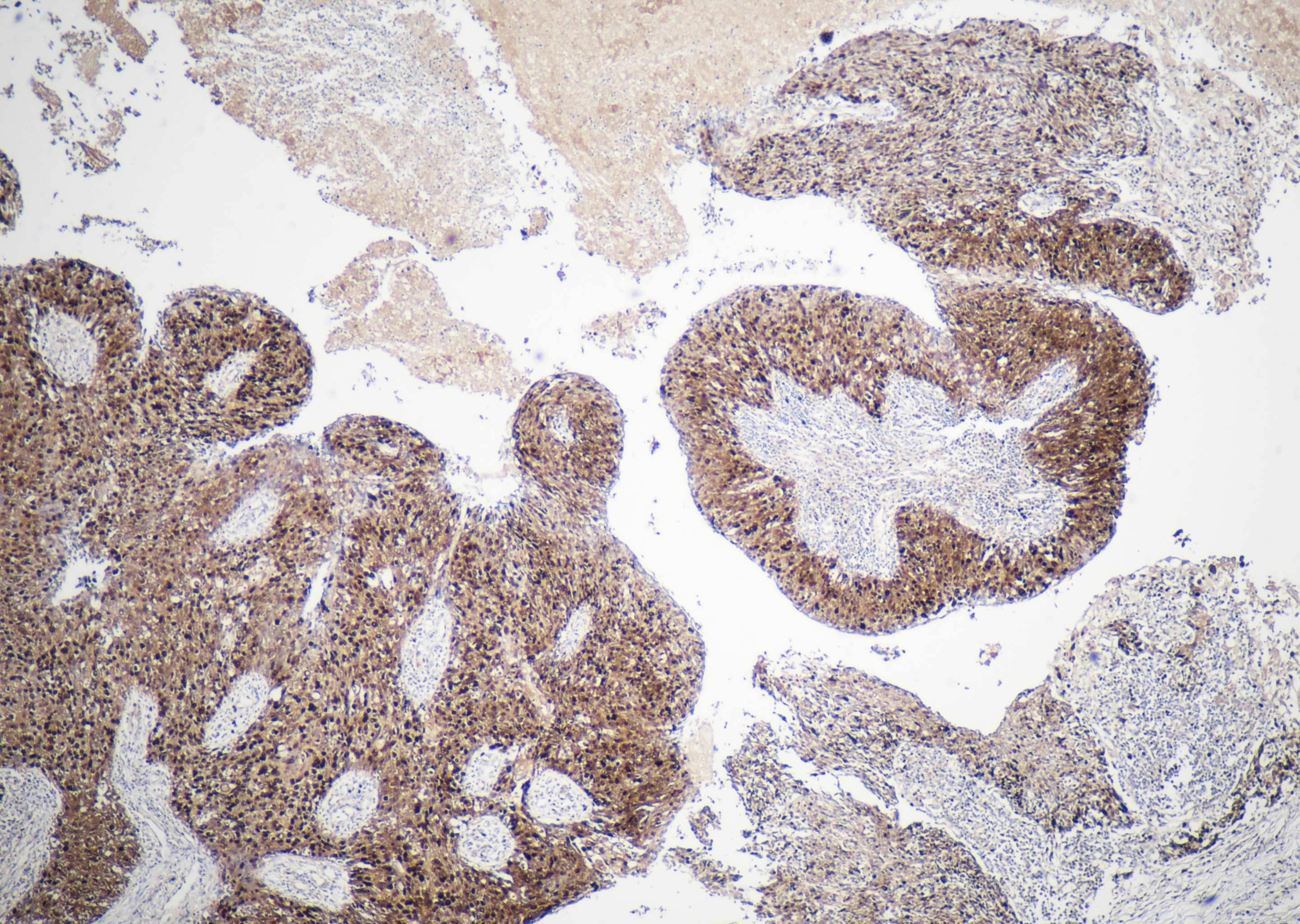
Synaptophysin
Synaptophysin(突触素)是分子量为38kDa的糖蛋白,主要存在于神经元突触前囊泡膜、肾上腺髓质、颈动脉体以及皮肤和内脏的神经性和上皮性神经内分泌细胞。此抗体主要用于标记神经内分泌细胞及其肿瘤,可用于鉴别肺小细胞癌和淋巴瘤,鉴别Merkel细胞癌与基底细胞癌,及作为嗜铬细胞瘤、节细胞神经瘤、福神经节瘤的诊断。
参数
| 样本要求 | 福尔马林固定,石蜡包埋的组织切片;丙酮固定的冷冻切片 |
|---|---|
| 免疫原 | 人突触素(Synaptophysin)合成肽 |
| 细胞定位 | 细胞质 |
| 主要成分 | 鼠抗人Synaptophysin免疫组化单克隆抗体,0.01M PBS,1%BSA,0.05%ProClin300 |
| 储存条件 | 2-8℃ |
| 有效期 | 24个月 |
| 规格(手工工作液) | 3mL/瓶;6mL/瓶 |
您需要任何帮助?
我们会尽快为您解决