
免疫显色试剂
(羊抗鼠/兔二抗-HRP)- HI
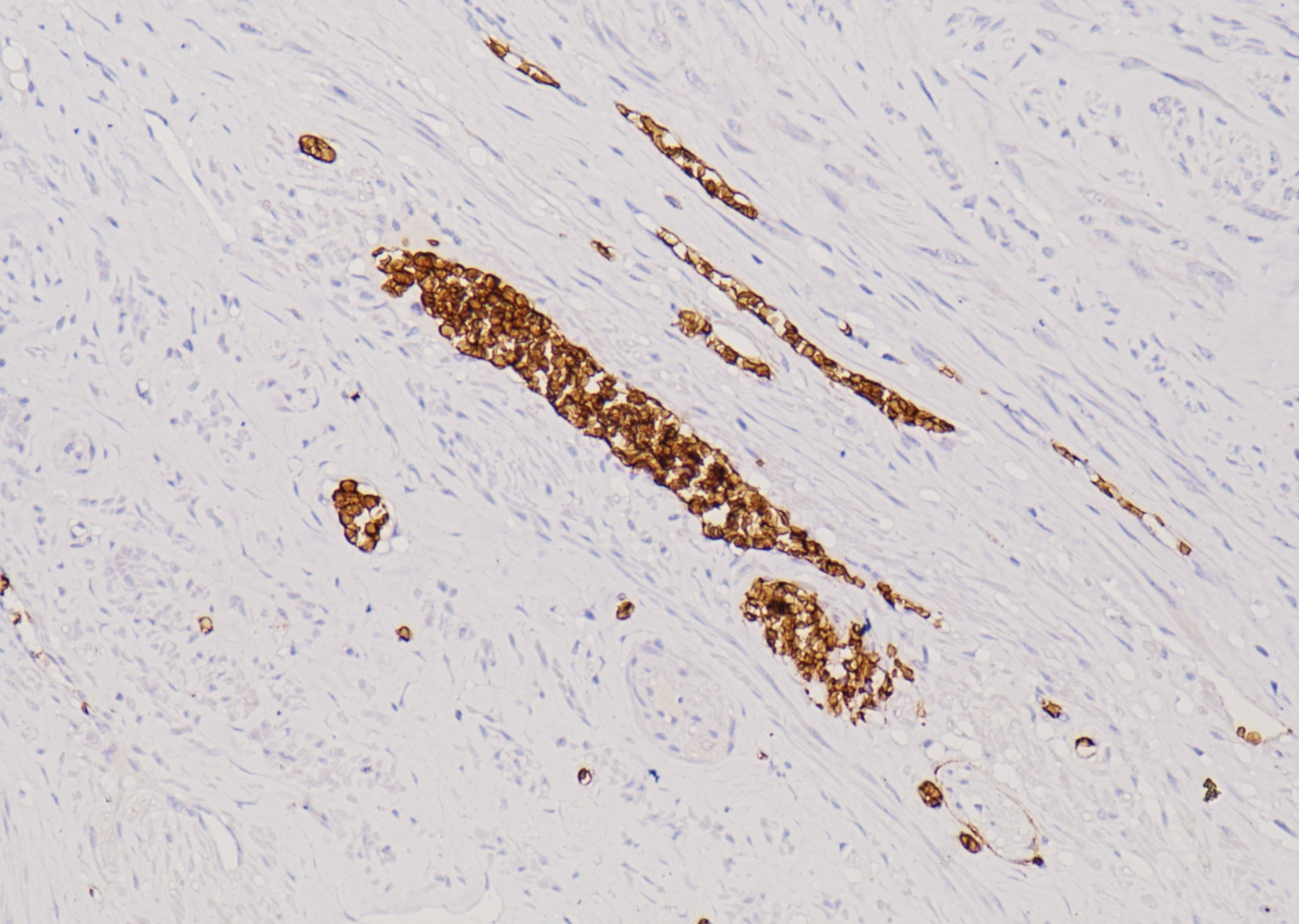
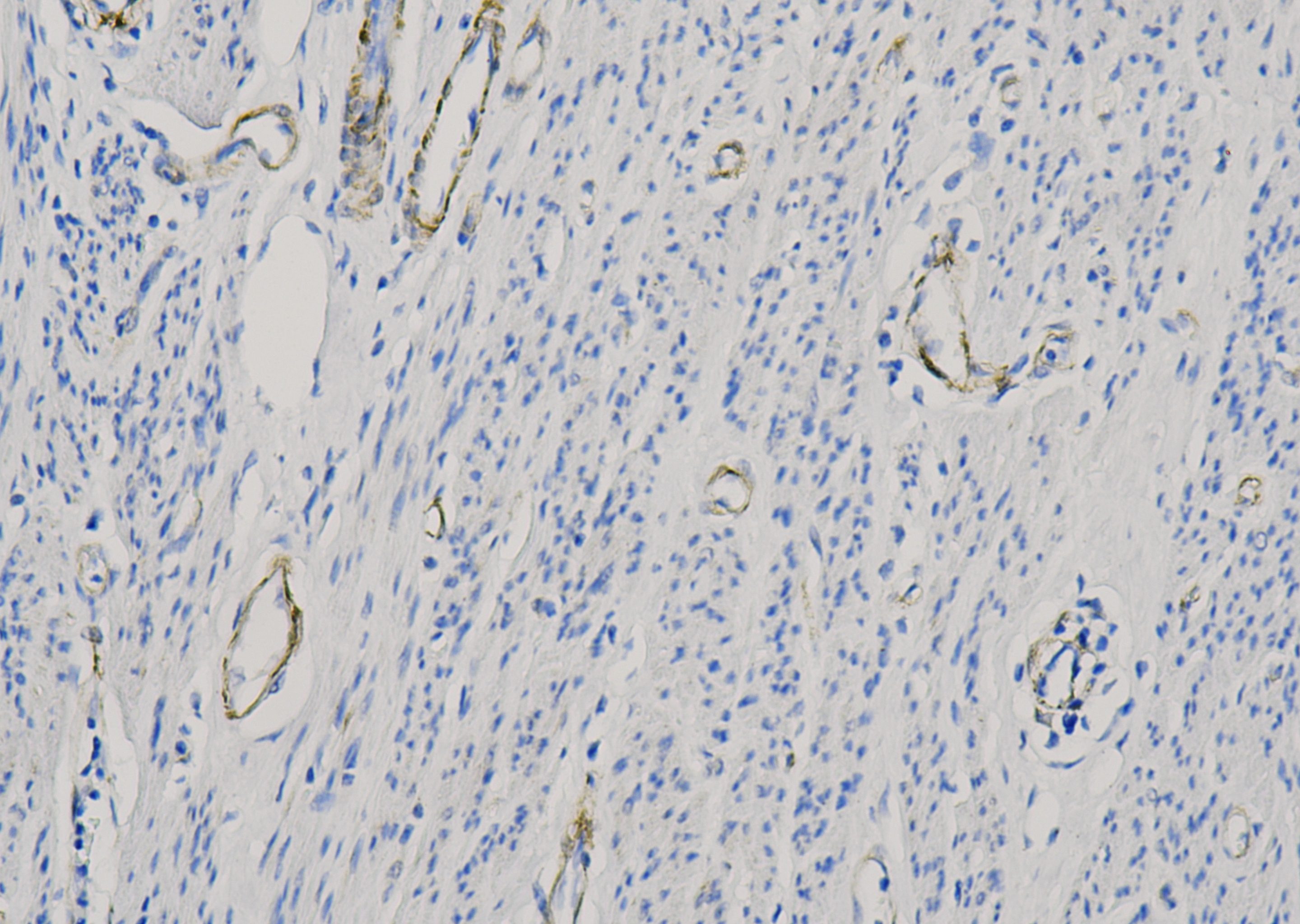
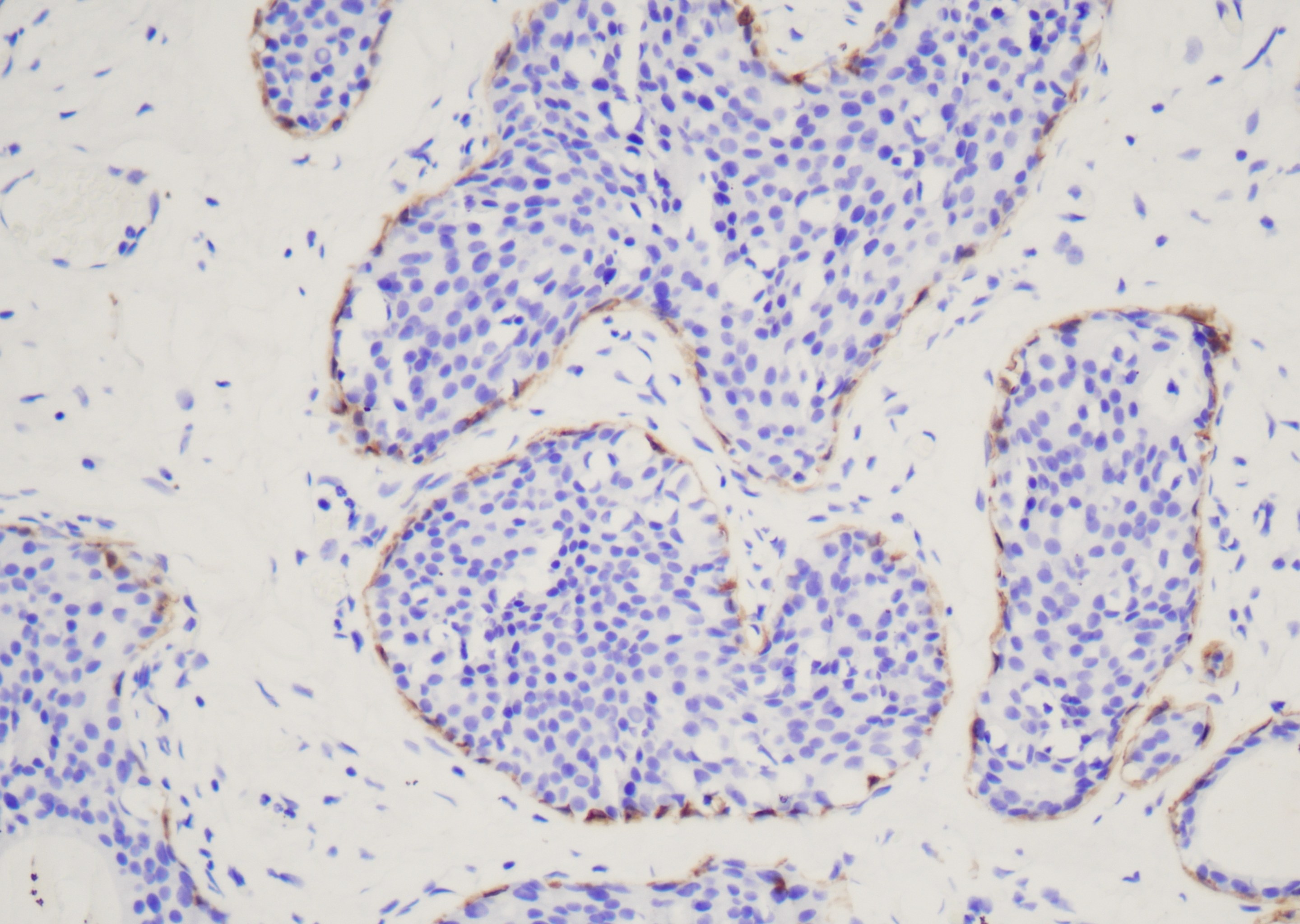
本试剂盒可检测通用的鼠源或兔源一抗,试剂盒中阻断剂可阻断组织片内源性过氧化物酶,一抗与切片中的靶抗原形成抗原抗体复合物,一抗后试剂封闭非特异性蛋白及提高结合效率,超敏酶标羊抗小鼠/兔IgG聚合物与抗原抗体复合物中的一抗结合。DAB A液和DAB B液混合成DAB显色液,超敏酶标羊抗小鼠/兔IgG聚合物中的HRP催化DAB工作液在抗原部位棕色沉积,苏木素复染定位细胞核。
参数
| 产品规格 | 200 测试/套 |
|---|
您需要任何帮助?
我们会尽快为您解决