
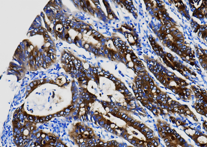
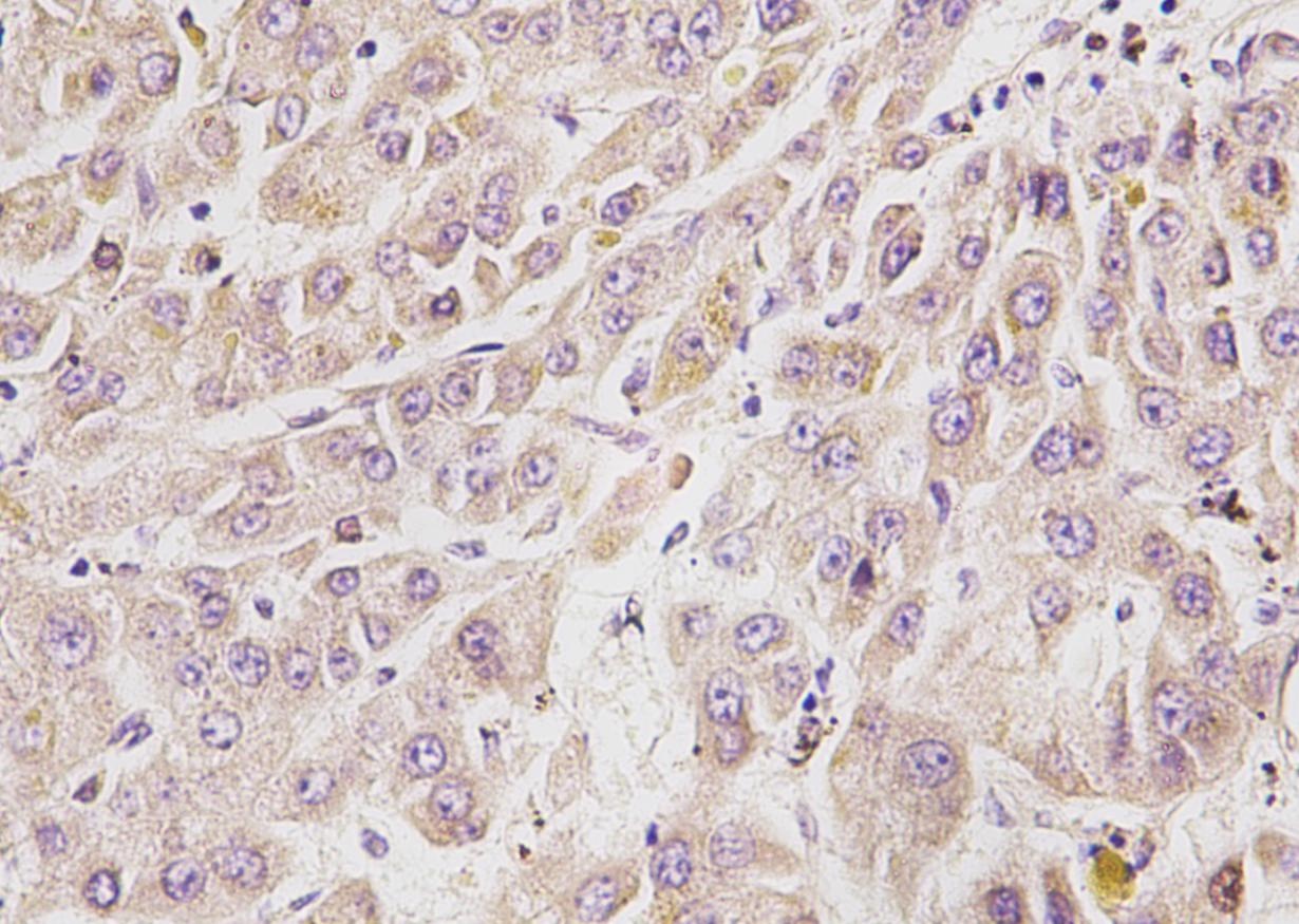
Calretinin
Calretinin是一种钙结合蛋白,为EF手蛋白家族成员之一,其功能可能是缓冲细胞内钙离子,在听觉神经元中含量丰富。可在视网膜、小脑、结肠等部位表达。
参数
| 样本要求 | 福尔马林固定,石蜡包埋的组织切片;丙酮固定的冷冻切片 |
|---|---|
| 免疫原 | 人Calretinin合成肽 |
| 细胞定位 | 细胞质/核 |
| 主要成分 | 鼠抗人Calretinin免疫组化单克隆抗体,0.01M PBS,1%BSA,0.05%ProClin300 |
| 储存条件 | 2-8℃ |
| 有效期 | 24个月 |
| 规格(手工工作液) | 3mL/瓶;6mL/瓶 |
您需要任何帮助?
我们会尽快为您解决