
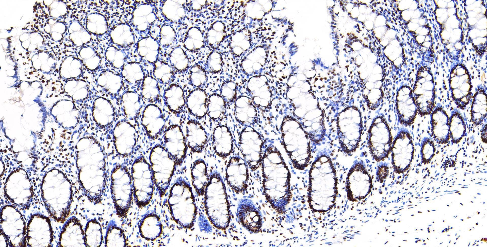
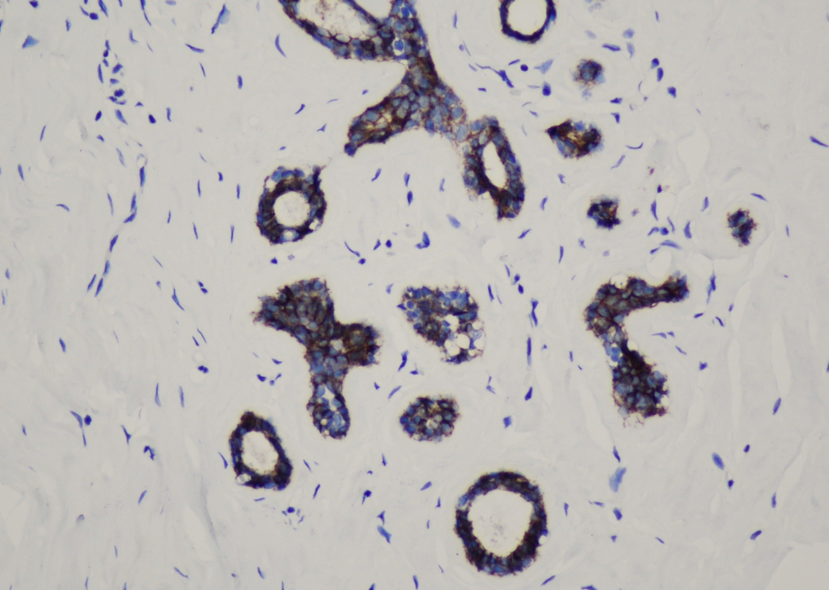
Annexin A1
Annexin A1(膜联蛋白A1)是钙依赖磷脂结合蛋白家族成员,分子量为37kDa。可与磷脂结合蛋白相互作 用以促进膜融合进一步参与胞吐,静息状态下主要存在于细胞质中,与肿瘤的发生有关,在细胞膜、质和部分 细胞核表达阳性。Annexin A1可用于毛细胞白血病的诊断、胃腺癌的诊断及预后判断。
参数
| 样本要求 | 福尔马林固定,石蜡包埋的组织切片;丙酮固定的冷冻切片 |
|---|---|
| 免疫原 | 人Annexin A1合成肽 |
| 细胞定位 | 细胞质/膜 |
| 主要成分 | 鼠抗人Annexin A1免疫组化单克隆抗体,0.01M PBS,1%BSA,0.05%ProClin300 |
| 储存条件 | 2-8℃ |
| 有效期 | 18个月 |
| 规格(手工工作液) | 3mL/瓶;6mL/瓶 |
您需要任何帮助?
我们会尽快为您解决