
Bcl-2
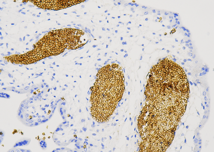
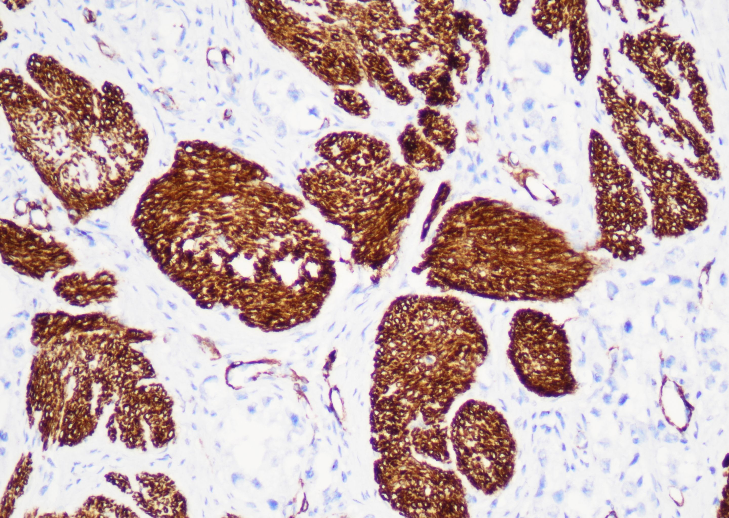
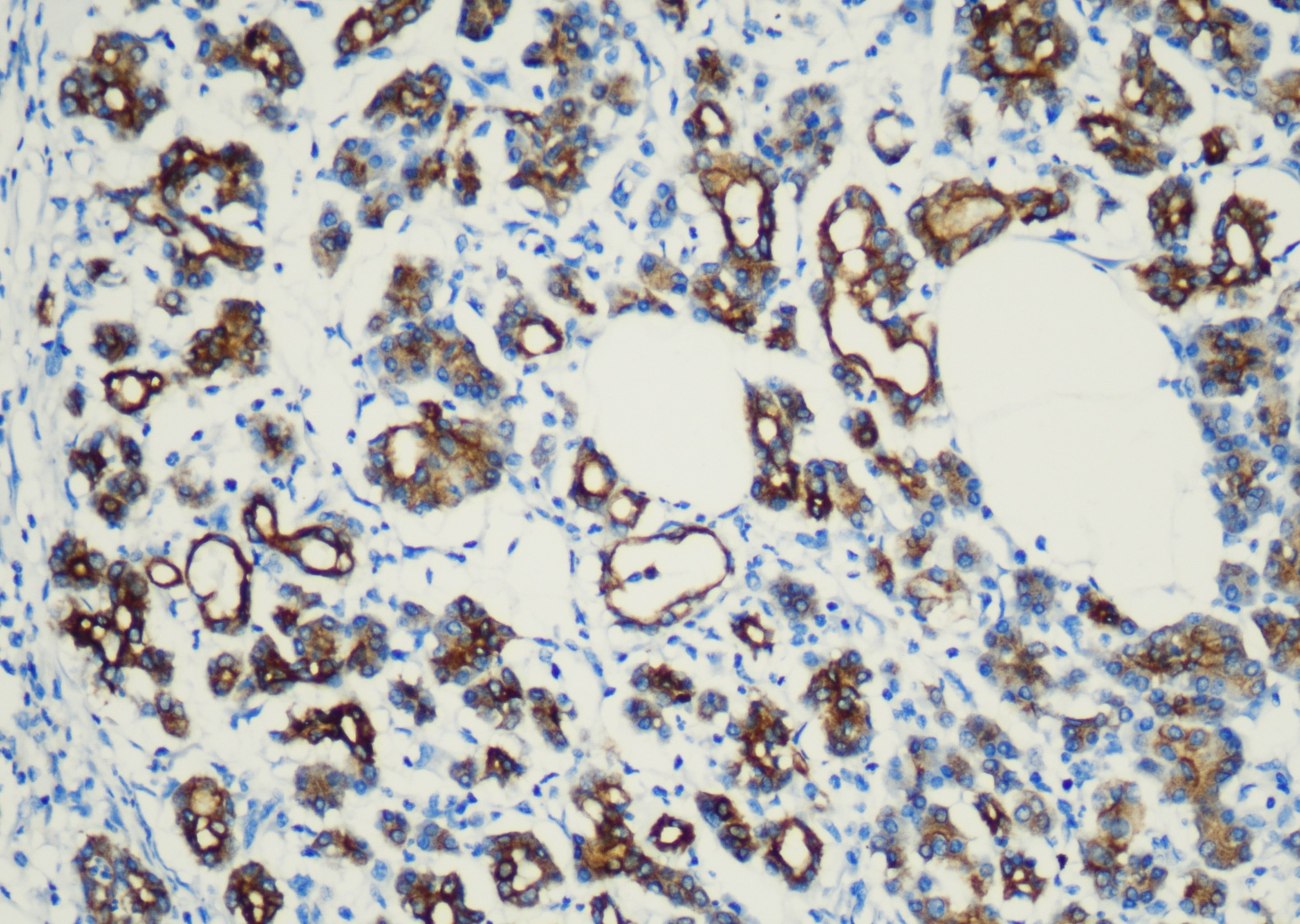
bcl-2是细胞凋亡蛋白家族成员之一,是一种分子量为25kDa 的线粒体内膜蛋白,抑制细胞凋亡,在组织 内广泛存在。其主要表达于套区的小B淋巴细胞和部分T细胞、胸腺髓质细胞和正常乳腺导管上皮细胞。原发性乳腺癌通常bcl-2表达阳性,其表达与p53 表达负相关,bcl-2阳性者预后较好。bcl-2可用于滤泡性淋巴瘤与 反应性淋巴滤泡增生、皮肤纤维瘤,纤维瘤病与孤立性纤维性肿瘤,隆突性皮肤纤维肉瘤、单核样B细胞增生与 边缘区淋巴瘤的鉴别诊断。
参数
| 样本要求 | 福尔马林固定,石蜡包埋的组织切片;丙酮固定的冷冻切片 |
|---|---|
| 免疫原 | 人bcl-2合成肽 |
| 细胞定位 | 细胞质/膜 |
| 主要成分 | 鼠抗人bcl-2免疫组化单克隆抗体,0.01M PBS,1%BSA,0.05%ProClin300 |
| 储存条件 | 2-8℃ |
| 有效期 | 24个月 |
| 规格(手工工作液) | 3mL/瓶;6mL/瓶 |
您需要任何帮助?
我们会尽快为您解决