
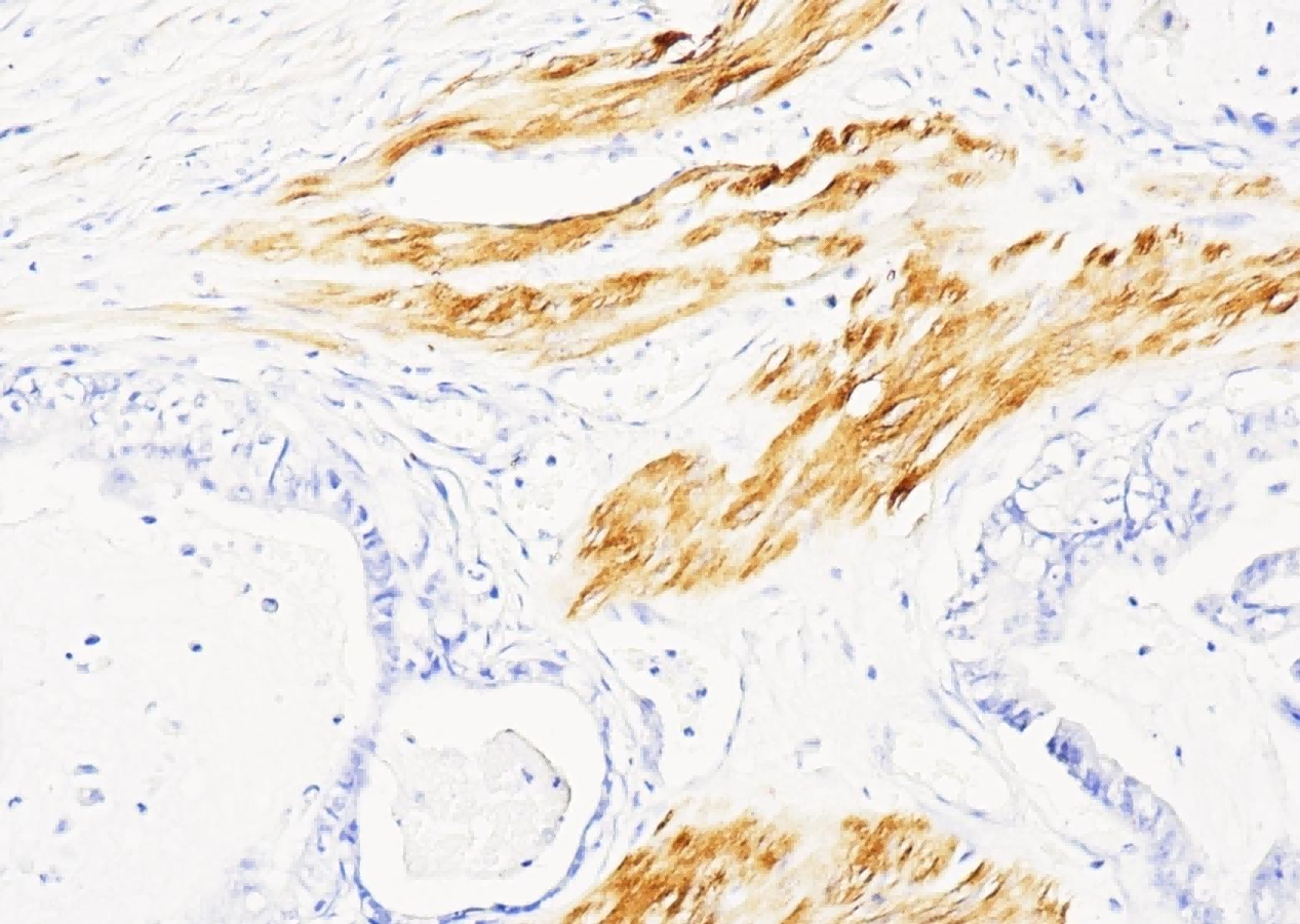
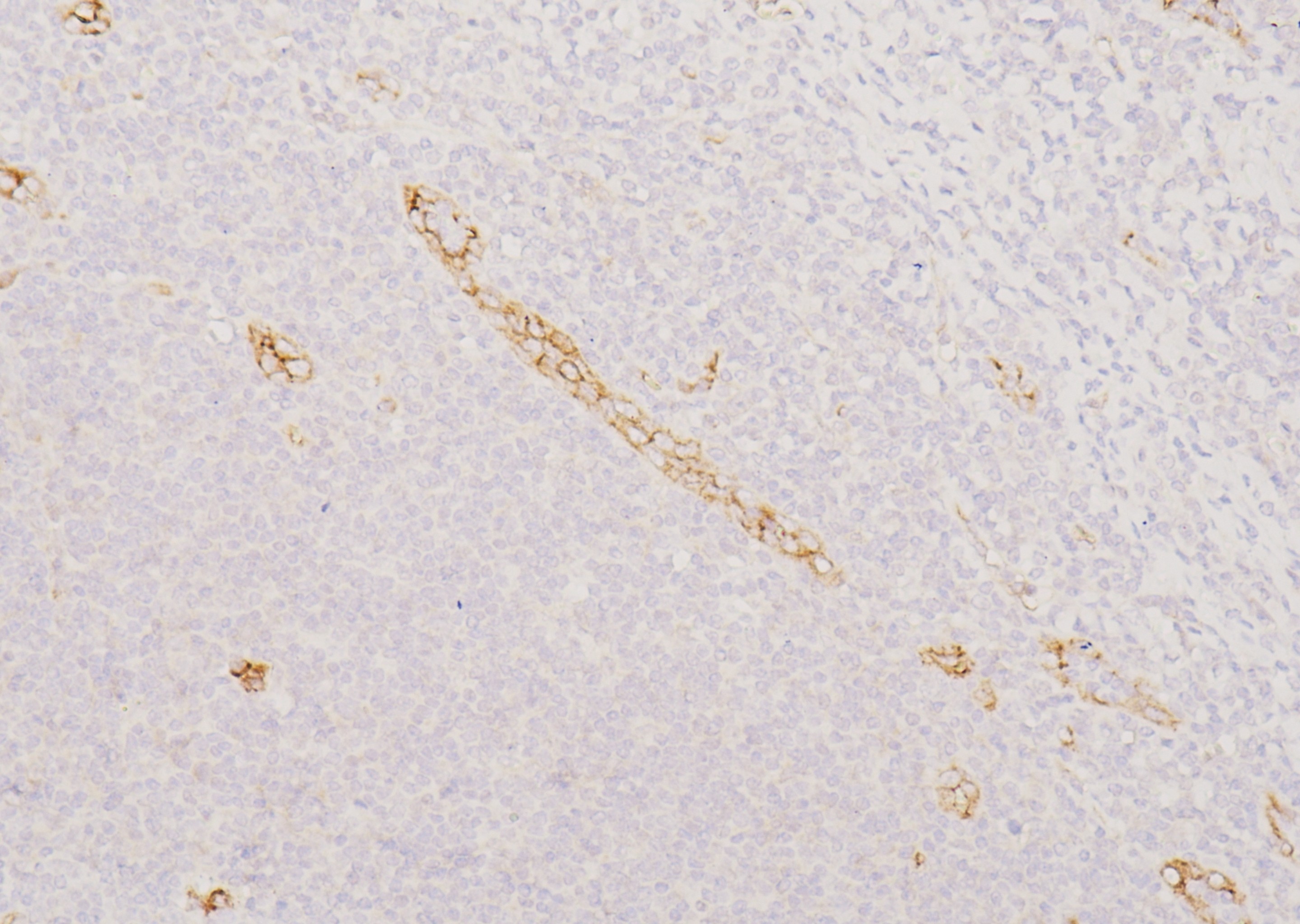
Calponin
Calponin(钙调节蛋白)是一种结合原肌球蛋白和F-肌动蛋白的钙调蛋白,是平滑肌细胞的一种特异性蛋白,具有调节平滑肌收缩的功能。其在平滑肌和肌上皮细胞及其来源肿瘤、肌纤维母细胞中表达阳性。Calponin可用于平滑肌肿瘤的诊断,乳腺棘球小体病与腺样囊性癌的鉴别,乳腺病变中肌上皮细胞分布的诊断和研究。
参数
| 样本要求 | 福尔马林固定,石蜡包埋的组织切片;丙酮固定的冷冻切片 |
|---|---|
| 免疫原 | 人Calponin合成肽 |
| 细胞定位 | 细胞质 |
| 主要成分 | 鼠抗人Calponin免疫组化单克隆抗体,0.01M PBS,1%BSA,0.05%ProClin300 |
| 储存条件 | 2-8℃ |
| 有效期 | 24个月 |
| 规格(手工工作液) | 3mL/瓶;6mL/瓶 |
您需要任何帮助?
我们会尽快为您解决