
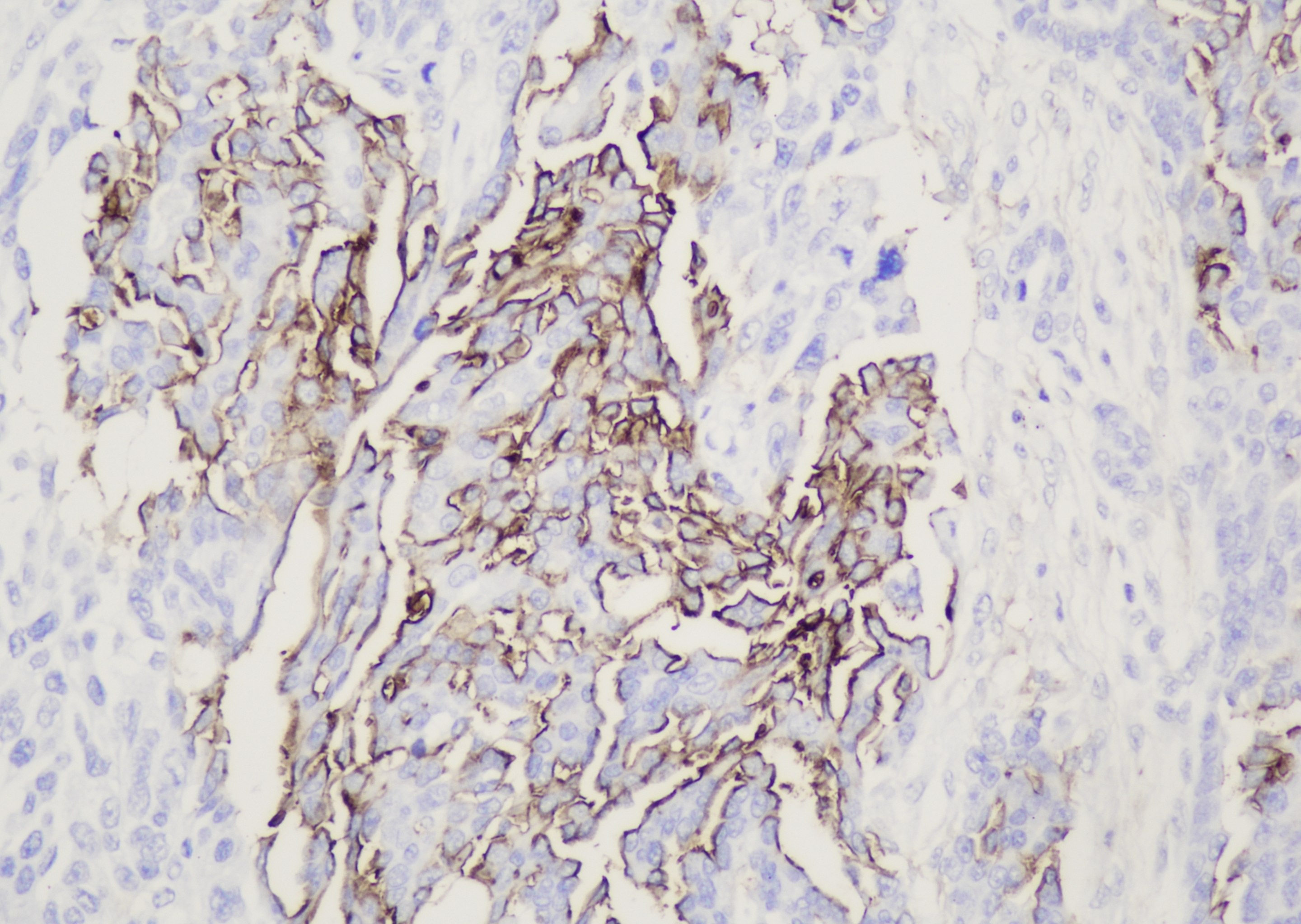
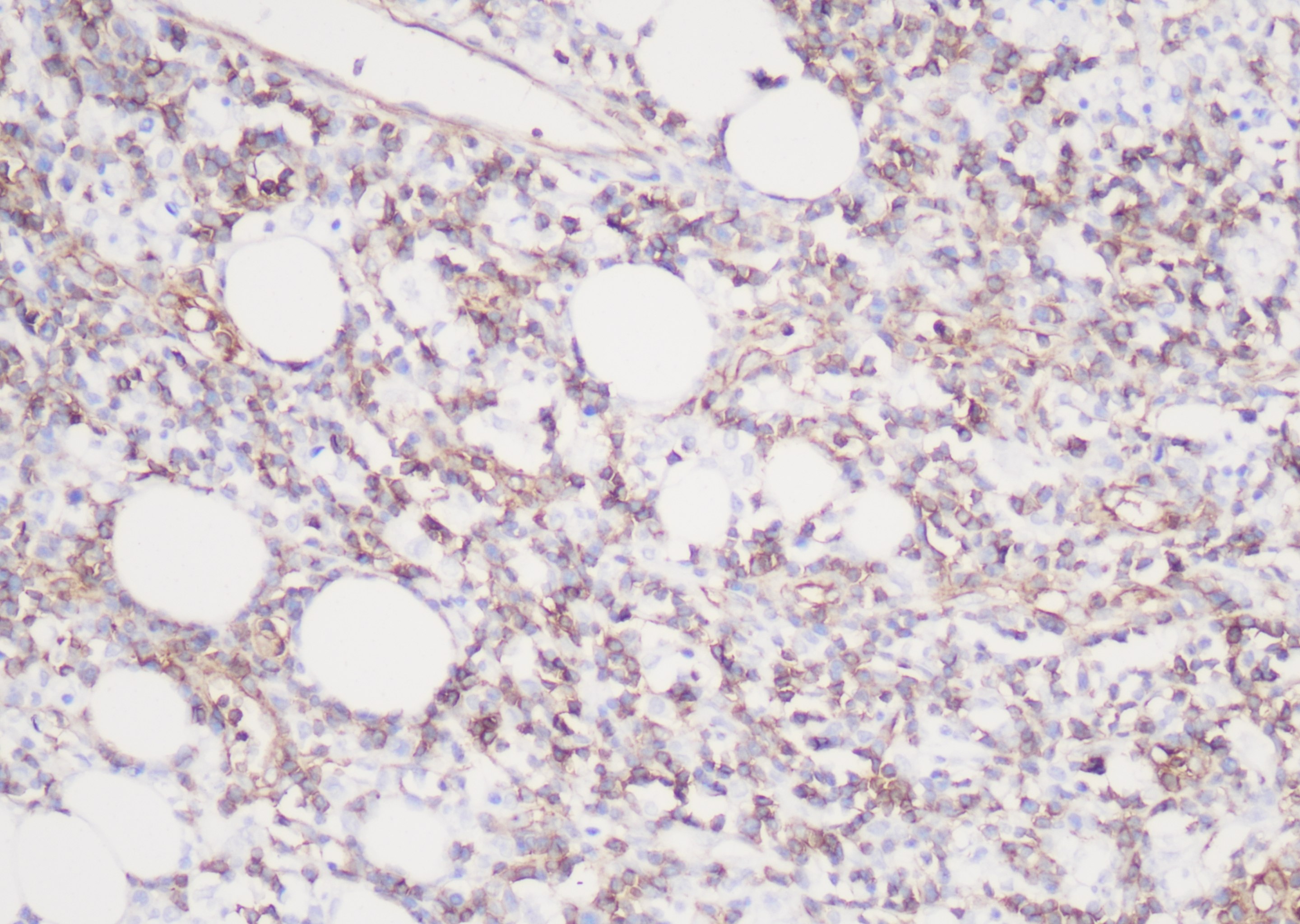
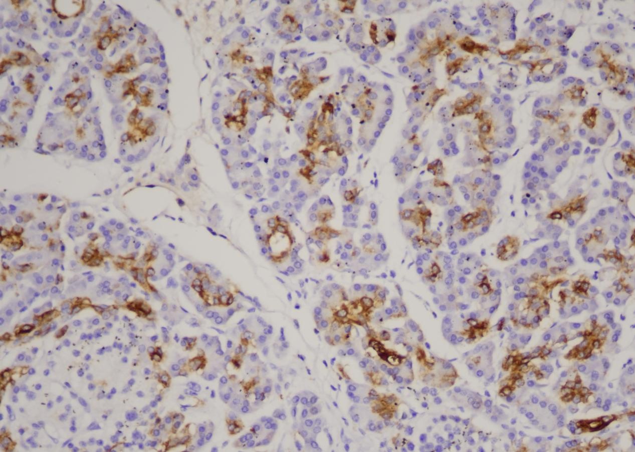
CA 19-9
CA 19-9(Carbohydrate antigen 19-9,糖类抗原19-9)是一种肿瘤相关细胞表面糖蛋白,也称消化道癌 抗原,分子量为210kDa。在乳腺、肾、唾液腺、汗腺的导管上皮、肝胆管及导管上皮和前列腺导管上皮中表达。 CA19-9 可用于间皮瘤和腺癌的鉴别诊断、转移性腺癌的鉴别诊断。
参数
| 样本要求 | 福尔马林固定,石蜡包埋的组织切片;丙酮固定的冷冻切片 |
|---|---|
| 免疫原 | 人CA 19-9合成肽 |
| 细胞定位 | 细胞质/膜 |
| 主要成分 | 鼠抗人CA 19-9免疫组化单克隆抗体,0.01M PBS,1%BSA,0.05%ProClin300 |
| 储存条件 | 2-8℃ |
| 有效期 | 24个月 |
| 规格(手工工作液) | 3mL/瓶;6mL/瓶 |
您需要任何帮助?
我们会尽快为您解决