
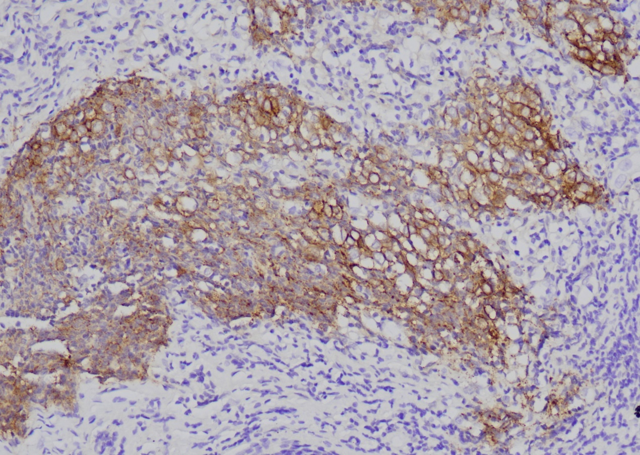
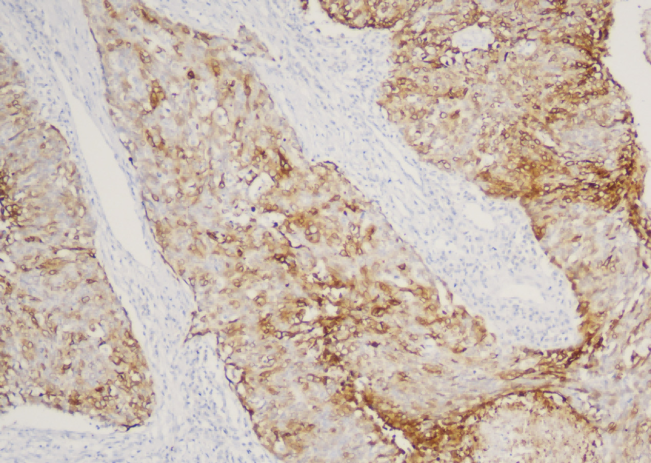
Chromogranin
CgA(Chromogranin A,嗜铬素A)是人类肾上腺髓质中含量最高的一种可溶性酸性蛋白,分子量为76~120kDa, 广泛存在于神经元及其神经内分泌细胞和肿瘤细胞中。CgA和NSE共同表达是神经内分泌肿瘤(肺小细胞癌、甲状腺髓样癌、甲状旁腺肿瘤、副神经节瘤、类癌)的典型标记,大多数的垂体腺瘤和催乳素瘤也表达CgA。CgA可用于神经内分泌肿瘤的诊断。
参数
| 样本要求 | 福尔马林固定,石蜡包埋的组织切片;丙酮固定的冷冻切片 |
|---|---|
| 免疫原 | 人Chromogranin合成肽 |
| 细胞定位 | 细胞质 |
| 主要成分 | 鼠抗人Chromogranin免疫组化单克隆抗体,0.01M PBS,1%BSA,0.05%ProClin300 |
| 储存条件 | 2-8℃ |
| 有效期 | 24个月 |
| 规格(手工工作液) | 3mL/瓶;6mL/瓶 |
您需要任何帮助?
我们会尽快为您解决