
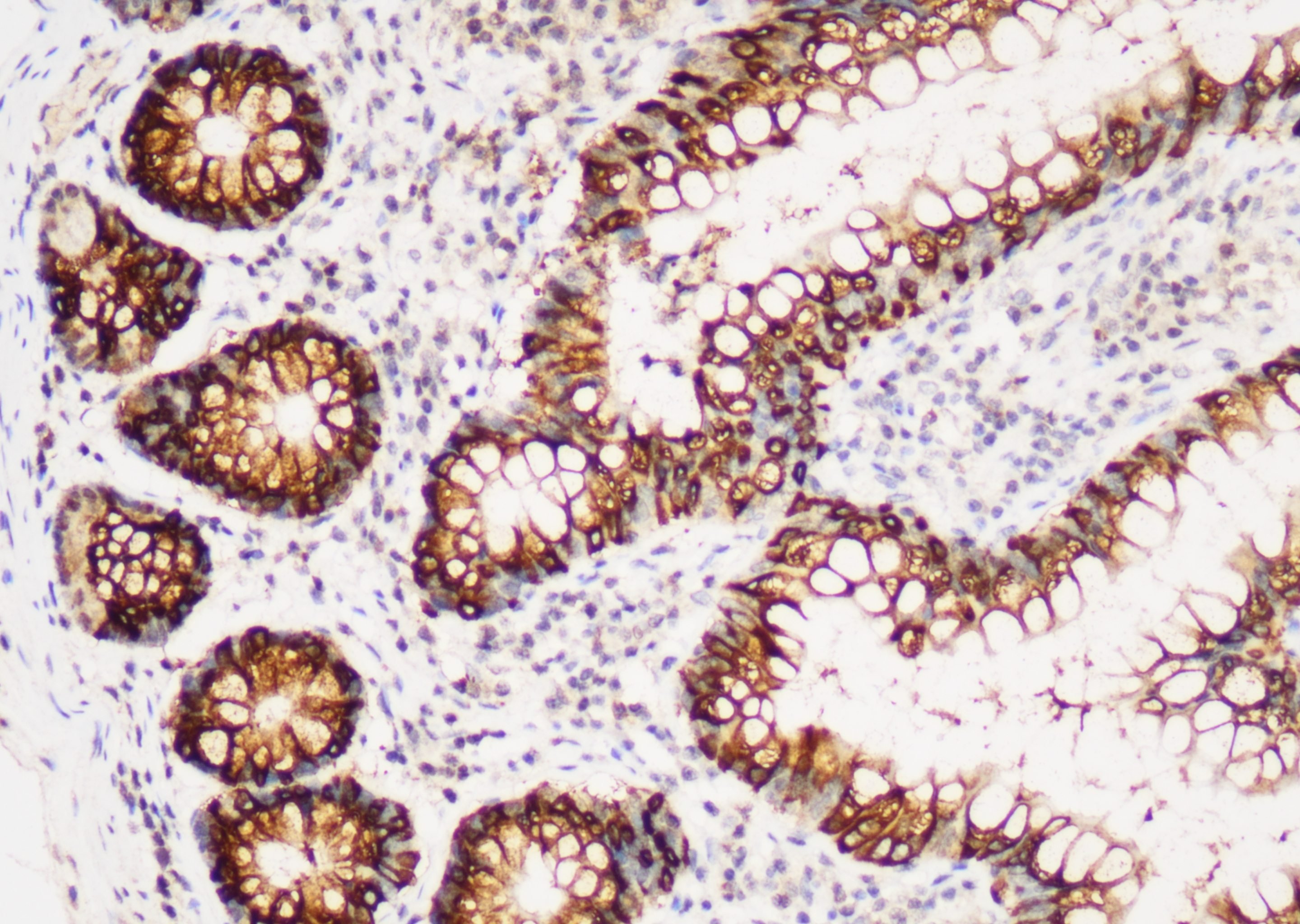
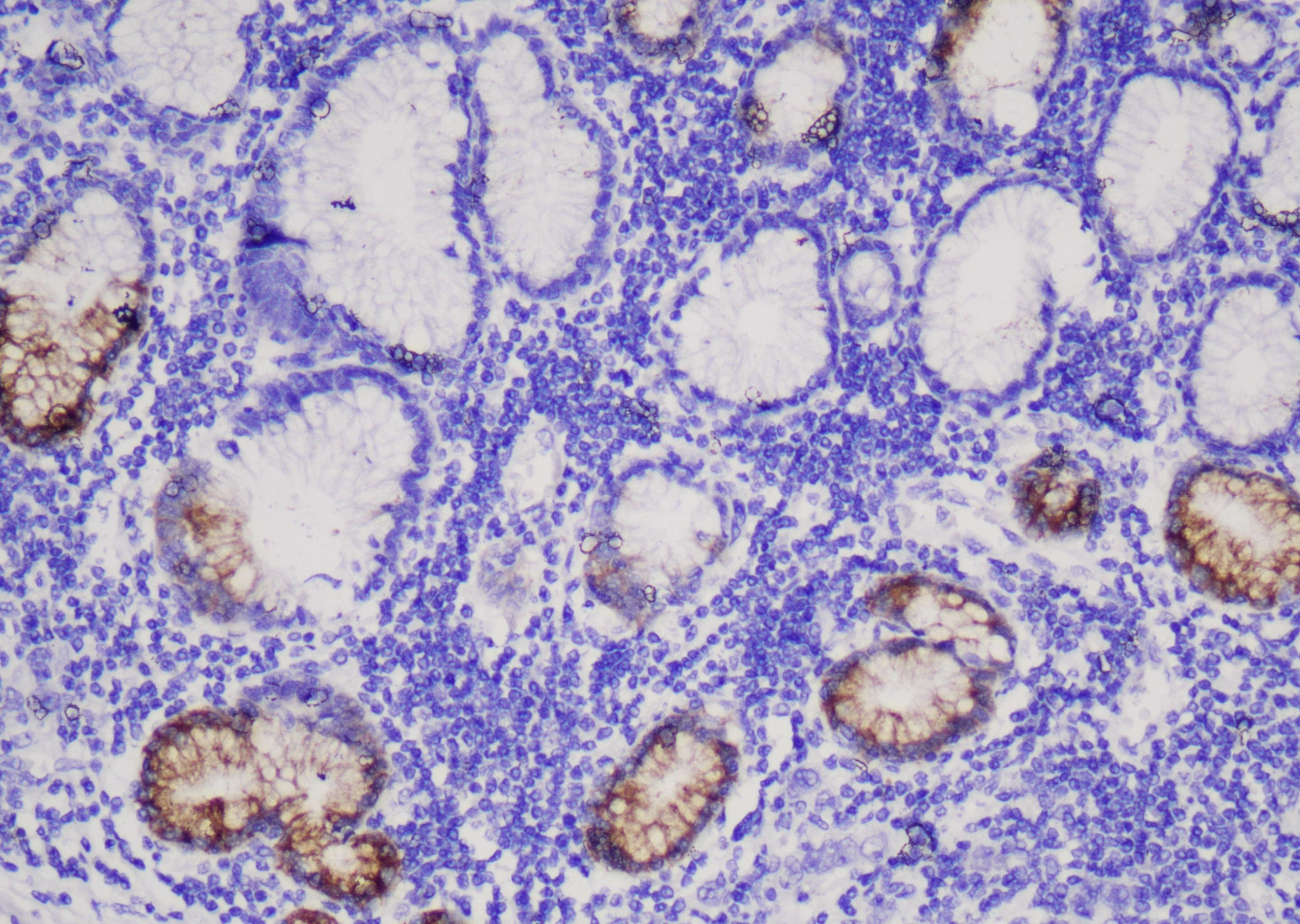
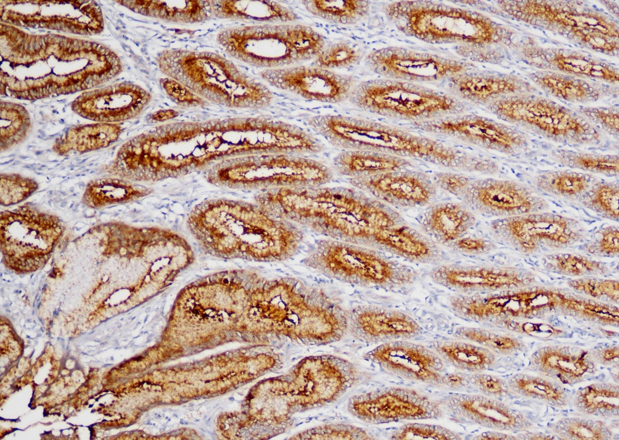
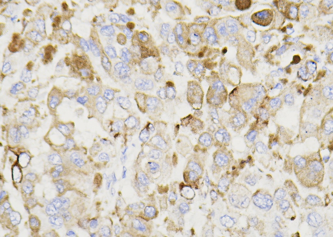
Ep-CAM
Ep-CAM(Epithelial cell adhesion molecule,上皮细胞粘附因子)由两个糖蛋白组成,表达于大多数正 常和肿瘤上皮细胞,而表皮鳞状上皮和肝细胞不表达。Ep-CAM 可用于肾嫌色细胞癌及嗜酸细胞瘤的诊断,胸腹水中腺癌及间皮细胞、间皮瘤的鉴别,卵巢浆液性癌和间皮瘤的鉴别诊断等。
参数
| 样本要求 | 福尔马林固定,石蜡包埋的组织切片;丙酮固定的冷冻切片 |
|---|---|
| 免疫原 | 人Ep-CAM合成肽 |
| 细胞定位 | 细胞质/膜 |
| 主要成分 | 鼠抗人Ep-CAM免疫组化单克隆抗体,0.01M PBS,1%BSA,0.05%ProClin300 |
| 储存条件 | 2-8℃ |
| 有效期 | 24个月 |
| 规格(手工工作液) | 3mL/瓶;6mL/瓶 |
您需要任何帮助?
我们会尽快为您解决