
Protein Gene Product 9.5
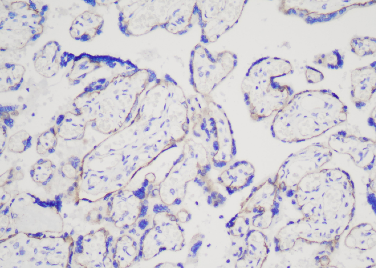
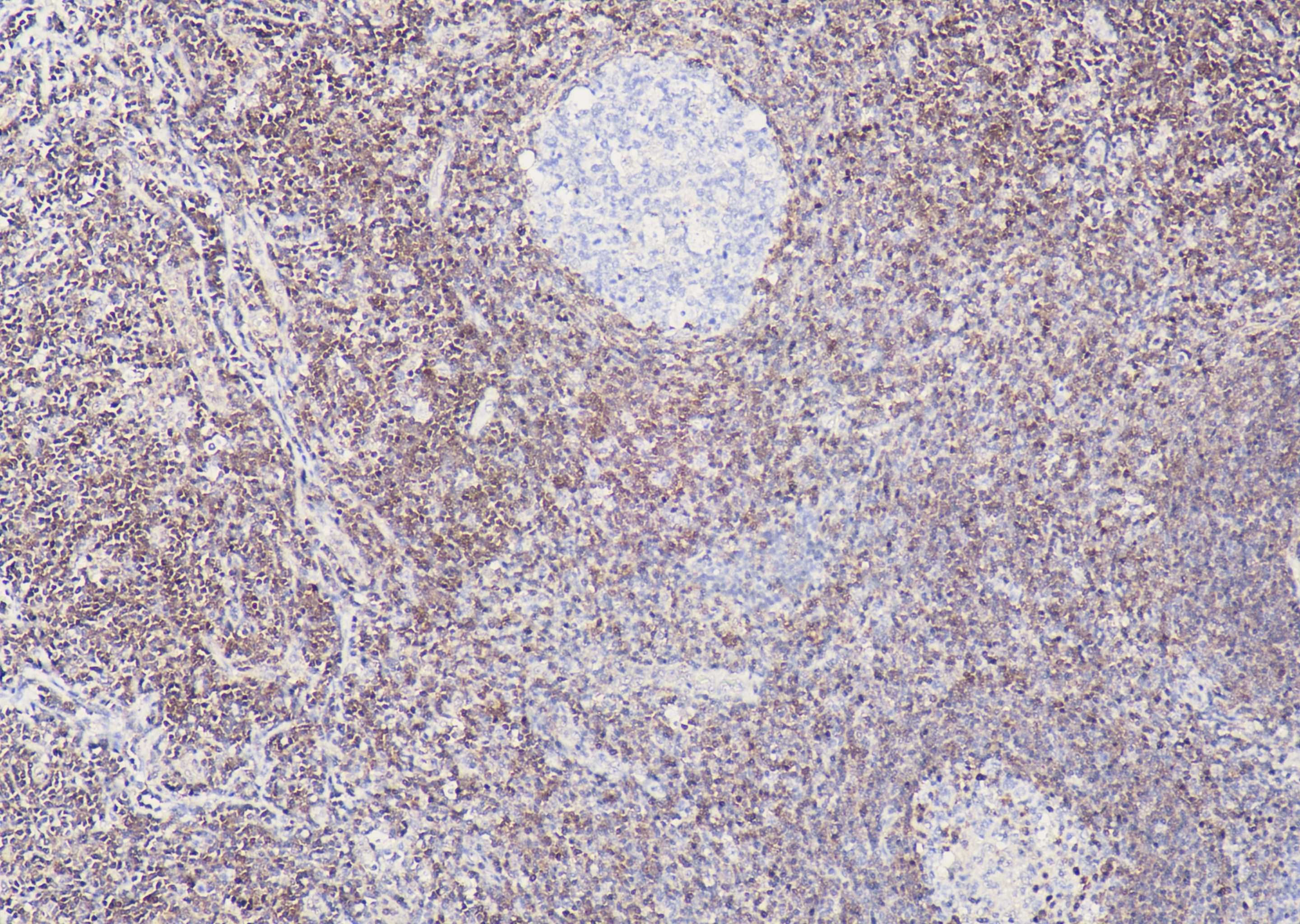
Protein Gene Product 9.5是一种在正常神经元中高表达的蛋白质,分子量为27kDa。广泛分布于中枢与外周神经系统的神经元和神经纤维、神经内分泌细胞、肾小管段、睾丸精原细胞、间质细胞、卵细胞以及妊娠与非妊娠黄体内的某些细胞。PGP9.5 是神经源性及神经内分泌源性肿瘤的敏感标记,可用于确定神经内分泌分化和心房粘液瘤的诊断。
参数
| 样本要求 | 福尔马林固定,石蜡包埋的组织切片;丙酮固定的冷冻切片 |
|---|---|
| 免疫原 | 人Protein Gene Product 9.5合成肽 |
| 细胞定位 | 细胞质 |
| 主要成分 | 鼠抗人Protein Gene Product 9.5免疫组化单克隆抗体,0.01M PBS,1%BSA,0.05%ProClin300 |
| 储存条件 | 2-8℃ |
| 有效期 | 18个月 |
| 规格(手工工作液) | 3mL/瓶;6mL/瓶 |
您需要任何帮助?
我们会尽快为您解决