
Ksp-Cadherin
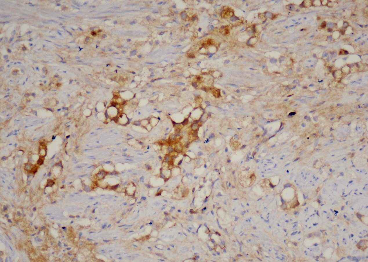
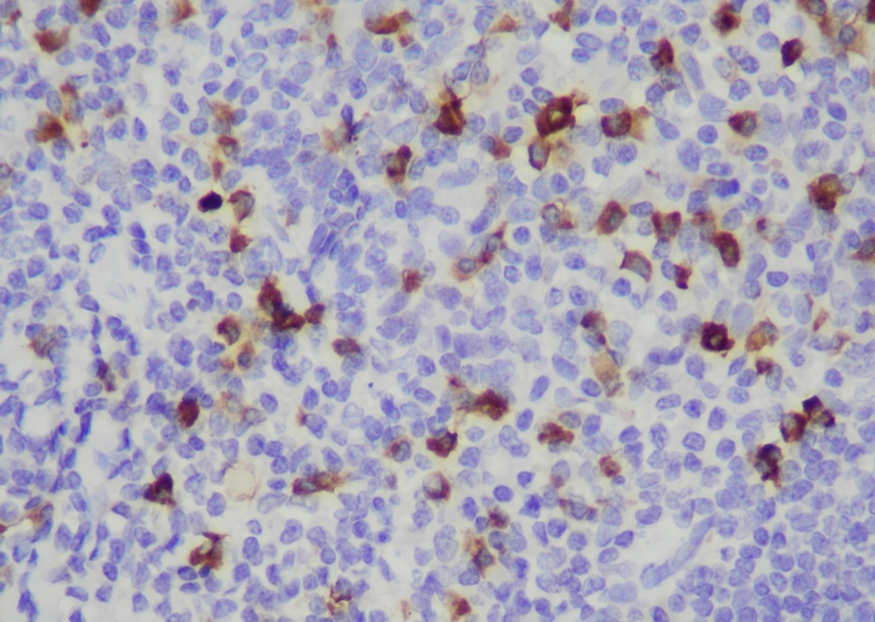
Ksp-Cadherin(肾特异性钙粘附蛋白)是钙粘附蛋白家族成员之一,具有肾特异性。正常表达于肾远端 小管、集合管及甲状腺腺上皮;在肾小球、间质细胞和血管中不表达;在23%的透明细胞癌、20%的乳头状细胞癌、100%的嫌色细胞癌和75%的嗜酸细胞瘤中有阳性表达。Ksp-Cadherin 可用于肾细胞癌的分型,转移性嫌色性肾细胞癌与肝细胞癌、肾上腺肿瘤的鉴别诊断。
参数
| 样本要求 | 福尔马林固定,石蜡包埋的组织切片;丙酮固定的冷冻切片 |
|---|---|
| 免疫原 | 人Ksp-Cadherin合成肽 |
| 细胞定位 | 细胞质/膜 |
| 主要成分 | 鼠抗人Ksp-Cadherin免疫组化单克隆抗体,0.01M PBS,1%BSA,0.05%ProClin300 |
| 储存条件 | 2-8℃ |
| 有效期 | 24个月 |
| 规格(手工工作液) | 3mL/瓶;6mL/瓶 |
您需要任何帮助?
我们会尽快为您解决