
SOX-2
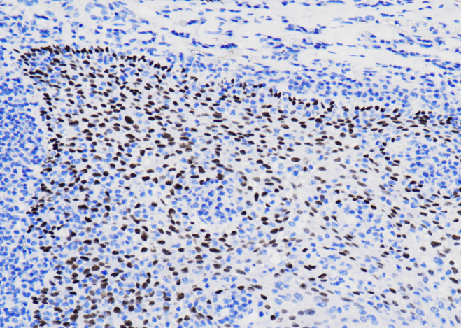
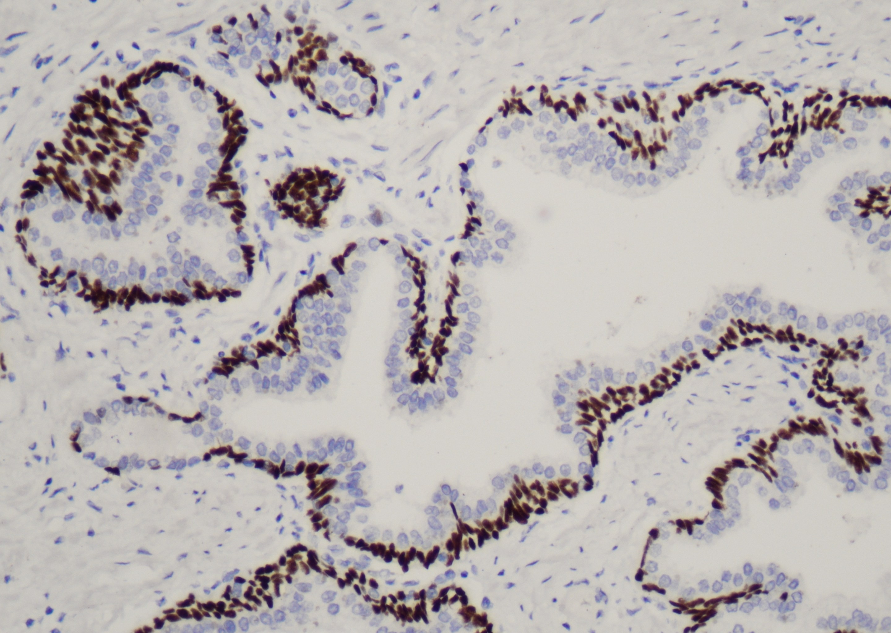
SOX-2(SRY-related HMG-box 2,性别决定区Y框蛋白2)是一种转录因子,属于SOX 区域Y蛋白家族,SOX-2基因是多种干细胞的关键调控子,在器官早期发育中起重要作用。90%的胚胎性癌表达SOX-2, 而精原细胞瘤、卵黄囊瘤及绒毛膜癌不表达。SOX-2可用于生殖细胞肿瘤的辅助鉴别诊断,且与卵巢癌、乳腺癌、头颈部肿瘤、肺鳞癌以及生殖细胞瘤等肿瘤的预后相关;与其他抗体联用可用于肺鳞癌、HPV感染和宫颈增生等的检测。
参数
| 样本要求 | 福尔马林固定,石蜡包埋的组织切片;丙酮固定的冷冻切片 |
|---|---|
| 免疫原 | 人SOX-2合成肽 |
| 细胞定位 | 细胞核 |
| 主要成分 | 鼠抗人SOX-2免疫组化单克隆抗体,0.01M PBS,1%BSA,0.05%ProClin300 |
| 储存条件 | 2-8℃ |
| 有效期 | 24个月 |
| 规格(手工工作液) | 3mL/瓶;6mL/瓶 |
您需要任何帮助?
我们会尽快为您解决