免疫组化抗体

免疫组化抗体

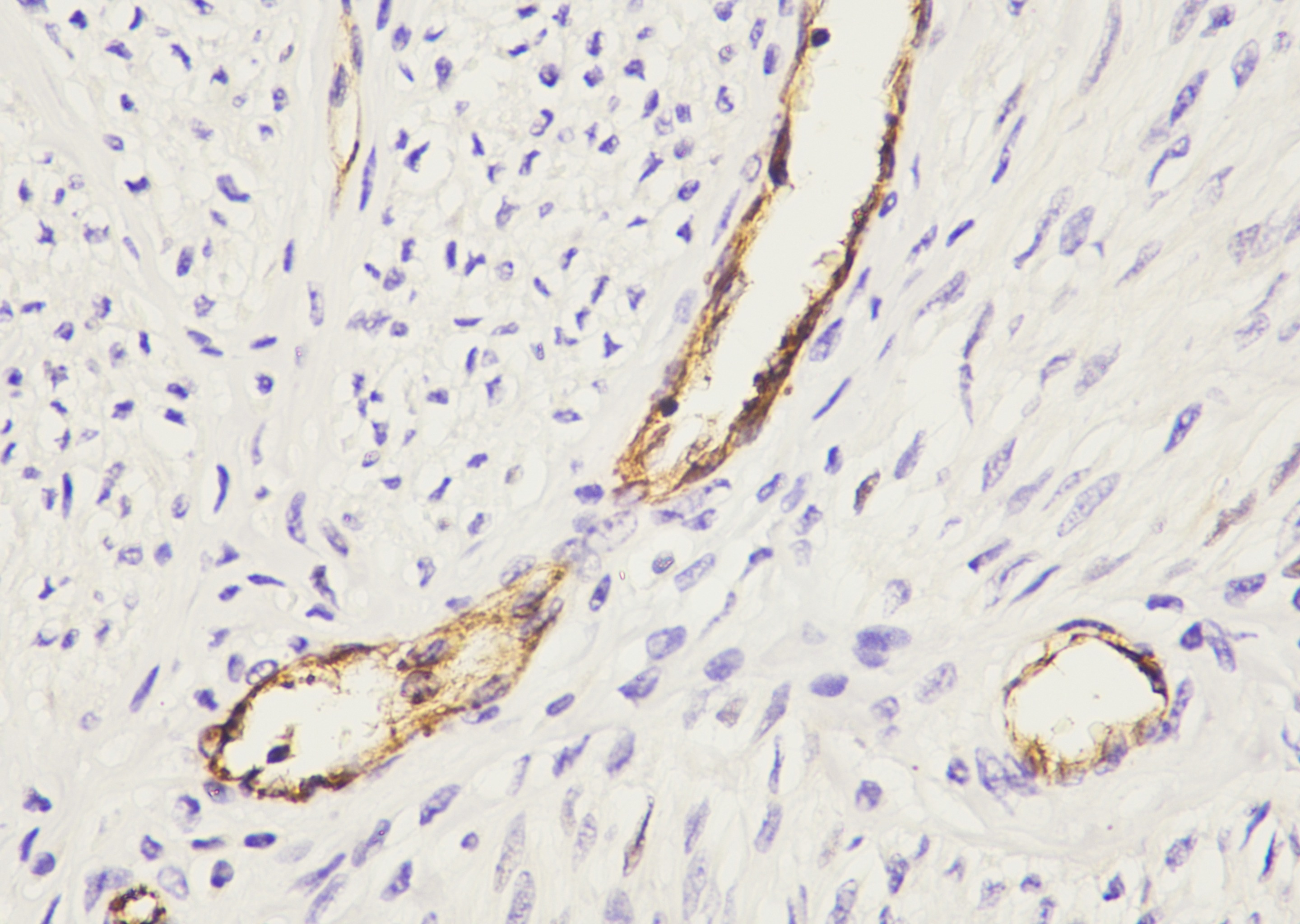
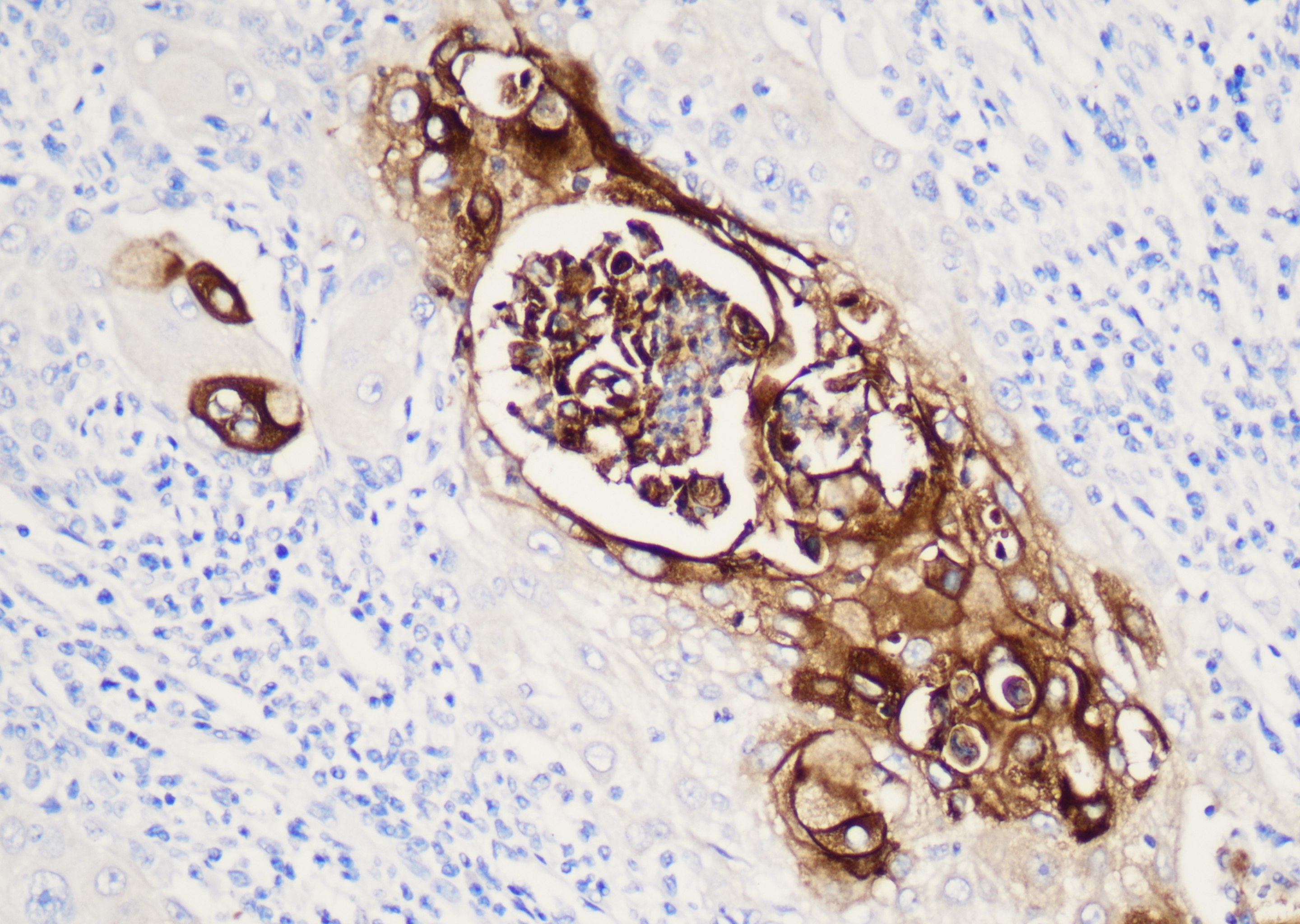
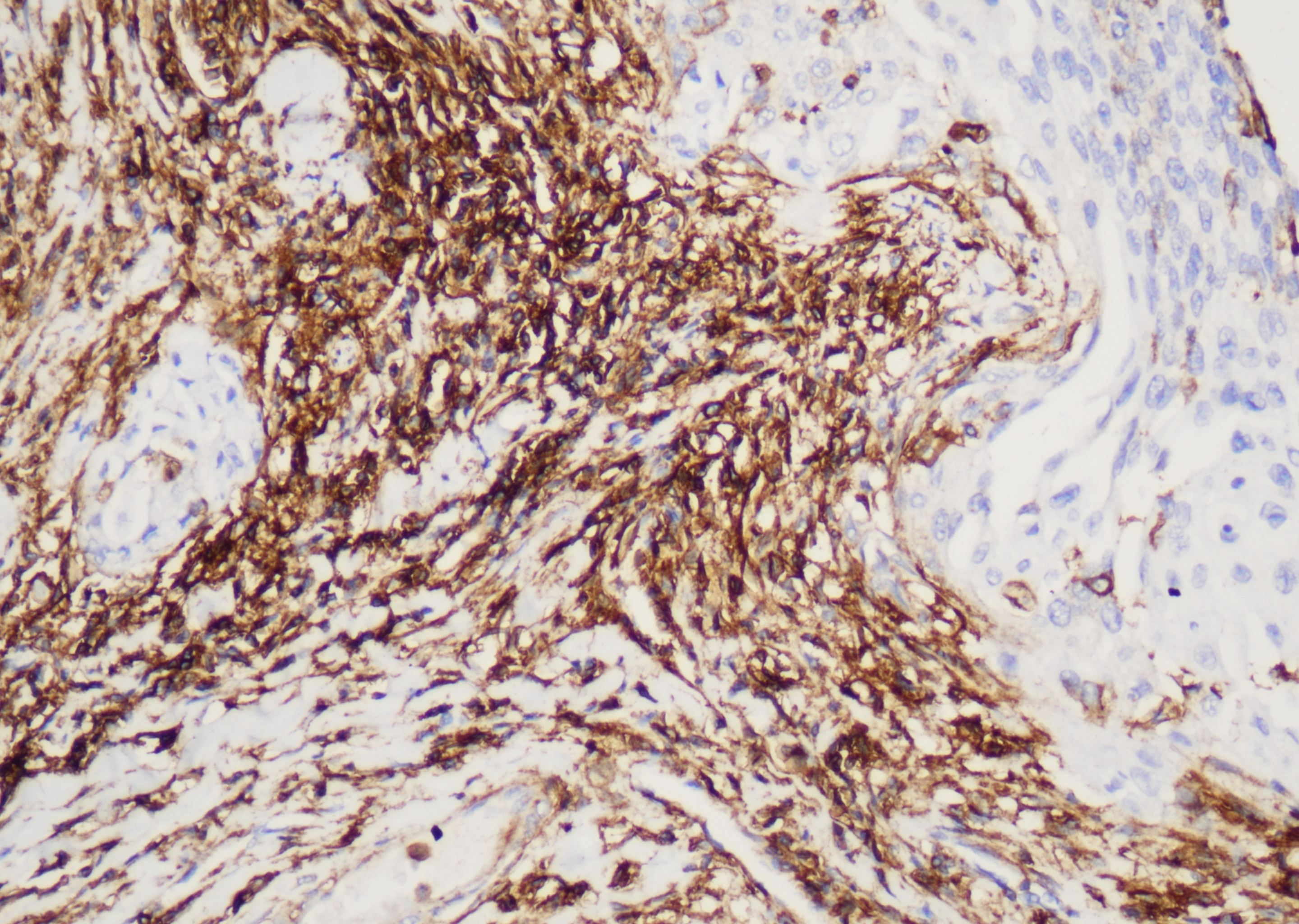
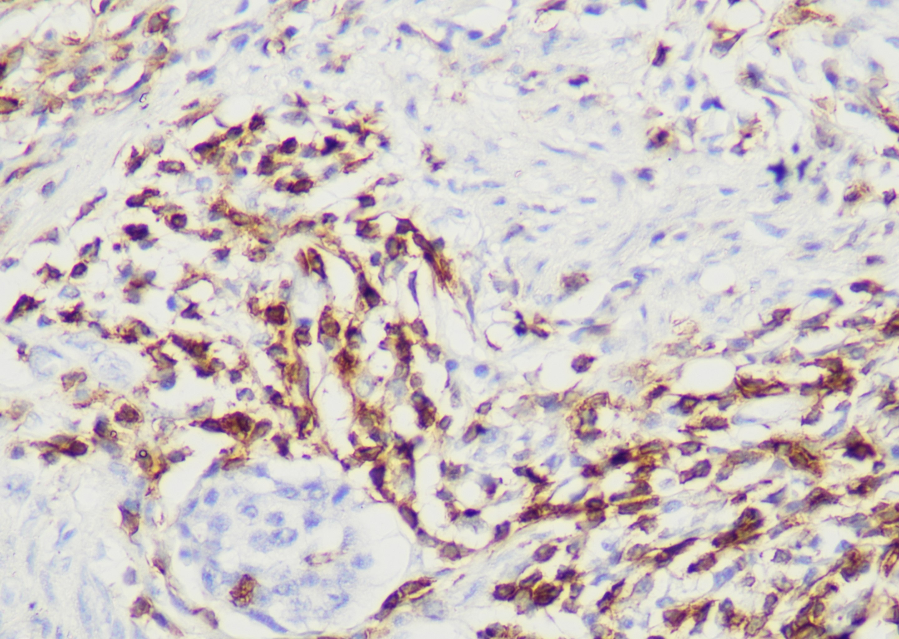
达科为提供200+种IHC一抗产品,有鼠源和兔源两类抗体,手工和仪器均可适配,一抗产品均为单克隆抗体,能够确保与目标抗原结合的特异性,同时一抗具有极高的灵敏度,可以在样本中检测到低表达水平的目标抗原,并获取可靠的结果。

达科为
联系我们
给我们留言
电话:13510383615

电话:13510383615

我们的页面使用Cookies

我们使用 Cookie 来个性化和提升您在我们网站上的浏览体验。点击“全部接受”即表示您同意使用 Cookie。您可以阅读我们的 Cookie 政策了解更多信息。