
CD2
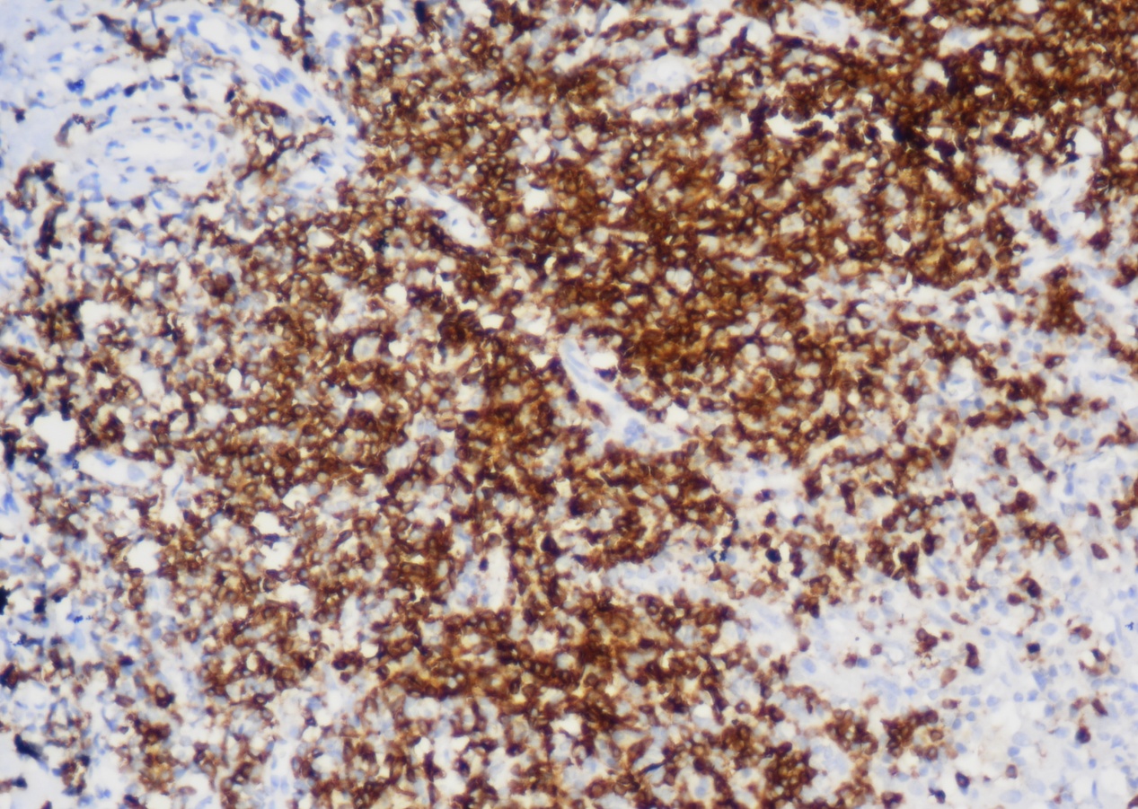
CD2又称T11/Leu5、LFA-2(Lymphocyte function associated antigen-2,淋巴细胞功能相关抗原-2)、 绵羊红细胞受体,具有调解活化的T细胞和胸腺细胞与抗原呈递细胞和靶细胞粘附的功能。其在所有T细胞和NK细胞中表达,B细胞及正常髓系细胞或肥大细胞中不表达,但表达于肥大细胞增多症的肥大细胞。CD2可用于T细胞淋巴瘤的诊断,对于T细胞标记易丢失的T细胞肿瘤(如ALCL),CD2是较好的补充标记。
参数
| 样本要求 | 福尔马林固定,石蜡包埋的组织切片;丙酮固定的冷冻切片 |
|---|---|
| 免疫原 | 人CD2合成肽 |
| 细胞定位 | 细胞膜 |
| 主要成分 | 鼠抗人CD2免疫组化单克隆抗体,0.01M PBS,1%BSA,0.05%ProClin300 |
| 储存条件 | 2-8℃ |
| 有效期 | 24个月 |
| 规格(手工工作液) | 3mL/瓶;6mL/瓶 |
您需要任何帮助?
我们会尽快为您解决