
Neurofilament
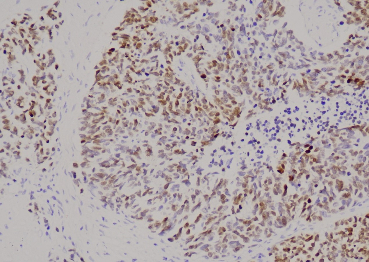
NF(Neurofilament,神经丝蛋白)是神经元特异性中间丝蛋白,由三个亚基组成。在中枢和外周神经系统的神经元及轴突(嗅觉感觉神经元除外)、神经母细胞瘤、嗅神经母细胞瘤、节细胞性神经母细胞瘤/神经节细胞瘤、胰腺胰岛细胞肿瘤、小细胞癌、副神经节瘤、嗜铬细胞瘤等中表达。NF可用于先天性巨结肠的神经元的识别,神经母细胞瘤与嗜铬细胞瘤的鉴别诊断。
参数
| 样本要求 | 福尔马林固定,石蜡包埋的组织切片;丙酮固定的冷冻切片 |
|---|---|
| 免疫原 | 人Neurofilament合成肽 |
| 细胞定位 | 细胞质 |
| 主要成分 | 鼠抗人Neurofilament免疫组化单克隆抗体,0.01M PBS,1%BSA,0.05%ProClin300 |
| 储存条件 | 2-8℃ |
| 有效期 | 24个月 |
| 规格(手工工作液) | 3mL/瓶;6mL/瓶 |
您需要任何帮助?
我们会尽快为您解决