病例展示
患者为34岁女性,无乳腺癌病史及家族史,因偶查见乳腺肿物就诊。体检为右乳内上象限1cm质硬肿物。乳腺超声检查,乳晕区内侧查见一处非典型肿块:长轴14毫米、低回声、边界不规则,超声归类为 4a。
穿刺活检,病理报告为非典型乳头状增生,未能给出明确诊断。临床行肿物切除术。术后病理检查,为界清、巢状表现的上皮细胞,伴纤细纤维血管轴心而类似乳头状结构。纤维血管轴心内偶见泡沫样组织细胞,衬覆细胞立方状,胞质丰富、嗜酸性,细胞核位于顶端,且部分有核沟。

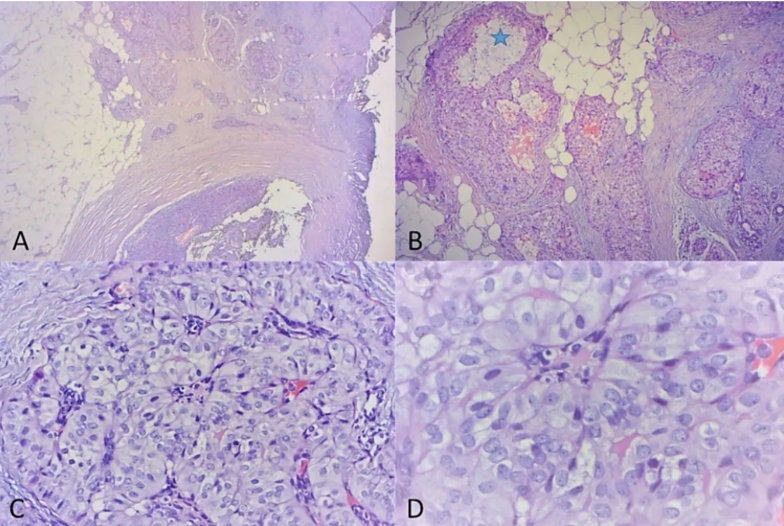
图1. 本例乳腺病变组织学所见:(A)图示界清的实性乳头状生长;(B)图示伴纤维血管轴心的实性、巢状结构,局灶有泡沫样组织细胞;(C)图示高立方状上皮细胞,胞质嗜酸性,细胞核形态单一,卵圆形,轻度非典型;(D)图示细胞核极向翻转特征,染色质透明,偶见核沟。
免疫组化检测,瘤细胞弥漫阳性表达CK5/6、calretinin,不表达ER、PR、HER2,不表达TTF1。P63阴性,提示病变内及细胞巢周围并无肌上皮。Ki-67增殖指数低,约为5%。

图2. 免疫组化检测结果:(A)ER阴性;(B)PR阴性;(C)HER2阴性;(D)calretinin弥漫、强阳性;(E)p63在肿瘤内及细胞巢周围均为阴性;(F)Ki-67增殖指数低(约5%)。
综合上述信息,本例最终诊断为乳腺极向反转高细胞癌。肿物最大径0.8cm。未见原位癌成分。未见脉管侵犯。鉴于送检标本下切缘可见肿瘤累及,因此进一步手术切除乳腺组织、并腋窝淋巴结清扫。术后查见3mm残余肿瘤。送检31枚淋巴结均未见肿瘤转移。未行进一步治疗。术后随访,30个月时未见复发或转移迹象。
小结:
极向反转高细胞癌为浸润性乳腺癌中的罕见亚型。该瘤种最初报道于2003年,当时描述为类似高细胞亚型甲状腺乳头状癌的乳腺原发肿瘤。此后文献中散见个别报道,至2019年被第五版世界卫生组织乳腺肿瘤分类方案纳入。
该肿瘤主要发生于60岁以上女性,文献中报道患者年龄平均64岁,但患者年龄39岁至89岁均有报道。本文报道的病例为34岁,据原文作者所述,应该是文献中年龄最轻的患者。
组织学上,该肿瘤具有特征性表现;也正是因为这一特征性组织学表现,所以应注意鉴别高细胞亚型的甲状腺乳头状癌。实际上,也正是因为其形态学特征,因此这一肿瘤此前曾被称为“类似高细胞亚型甲状腺乳头状癌的乳腺肿瘤”、“伴极向反转的实性乳头状癌”。当然,免疫组化很容易做出鉴别:TTF1和Tg均为阴性,可以排除甲状腺来源。
具体到乳腺原发肿瘤来说,该肿瘤还要注意鉴别乳腺的乳头状病变。关于这一问题,早有研究表明乳腺极向反转高细胞癌的细胞特征并非该肿瘤所独有,还可见于其他类型的乳腺肿瘤,如包裹性乳头状癌、囊内乳头状癌、实性乳头状癌。因此,活检中鉴别相应病种可能难度很大,如本例最初活检就未能做出明确诊断。
就免疫组化来说,该肿瘤一般为ER、PR、HER2三阴表型;也有个别病例为ER、PR弱阳性。肿瘤内及肿瘤周围均无肌上皮细胞标记着色,表明为浸润性病变。所有病例均弥漫、强阳性表达calretinin。Ki-67增殖指数低,具体为1%至5%不等。从分子生物学角度来说,该肿瘤存在IDH2基因的体细胞性突变,具体突变几率为90%;67.5%的病例具有PIK3CA突变;同时存在这两种突变的病例占比为60%。
虽然从免疫组化的角度来说,这一瘤种为三阴表型,但其预后极好,大部分病例临床病程为惰性。出现淋巴结转移的情况极为罕见。不过,由于这一病种极为罕见,文献中报道的病例数很少,因此目前针对这一病种的治疗还没有明确的指南。从低度侵袭性肿瘤的角度来说,最佳治疗方案为相对保守的完整切除、且达到充分的切缘;关于腋窝淋巴结清扫、放疗、化疗方面,还没有明确的适应症。
Ben Makhlouf W, Charfi S, Triki M, Graja S, Ines S, Boudawara T. Tall cell carcinoma with reverse polarity of the breast in a young patient: A case report. Int J Surg Case Rep. 2025;128:111081.
doi:10.1016/j.ijscr.2025.111081