来源:上海复旦临床病理诊断中心
软斑病(malakoplakia)是一种罕见的获得性、慢性炎症病变,最初报道于1902年。关于该病的发生机制,目前还不完全清楚,但可能是多种疾病状态(如自身免疫性疾病、感染、免疫抑制、恶性肿瘤)时巨噬细胞吞噬功能受损所致。该病主要累及泌尿生殖道,但偶见累及其他器官和系统,1958年,就曾有泌尿道之外的首次报道,比如结肠、直肠、阑尾、胰腺甚至脐带、大脑等处都有过相关文献。印度Patil医学院病理专家Arwikar等人曾报道过一例发生于大腿软组织的软斑病,为帮助大家更好的了解相关知识点,我们将该文要点编译介绍如下。
病例展示
患者为42岁男性,因左大腿肿胀、逐渐增大1年余入院。起病隐匿,无疼痛,且不伴发热、体重减轻等全身症状。自诉三年前曾有铁棍外伤史,但声称损伤部位此后无任何并发症或反复症状。体检可触及一处无痛性肿物,位于左大腿上1/3处;被覆皮肤无明显改变,无炎症表现。
病灶处细针穿刺细胞学检查,背景为坏死性,并有散在的囊性巨噬细胞、混杂有出血;考虑炎症性或肿瘤性病变均有可能。

图1. 病灶处细针穿刺细胞学检查,背景为坏死性表现,可见混杂有出血的囊性巨噬细胞。
进一步CT检查,在左大腿皮下组织中可见一较大、界清的多结节性、异质性肿物,大小7.8*6.8*7.7cm;另加一处独立囊性病变,15*1.6*1.5cm,内部可见分隔及实性成分,提示复杂性囊性结构。肿物压迫下方肌肉组织,但未见明显浸润。实验室检查(包括全血细胞计数、肾功能与肝功能检测,以及HIV、乙型及丙型肝炎病毒血清学筛查)结果均在正常范围内。
由于高度可疑恶性,因此对该肿物进行广泛切除并送病理检查。标本大体为23*12*6cm,部分被覆皮肤,具体为伴囊腔的软组织肿物,囊内有血性液体及黄棕色物质。囊壁纤维化,内有黄色区域,内壁光滑。紧邻该囊腔,可见一处黄色、实性、坏死区。伴囊性变,约8*3*2cm。
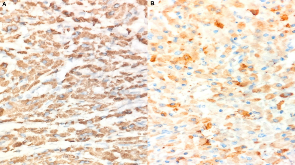
广泛、仔细取材后,镜下见体积大的组织细胞呈融合的片状、巢状,侵入纤维性间质,并伴慢性炎症细胞浸润和坏死区。特殊检测证实,组织细胞内有PAS阳性的胞质内颗粒并有钙化小球,后者也称为Michaelis Gutmann小体(M-G小体)。M-G小体形态均一,个别呈靶环状、并有致密核心。慢性炎症区域和大片坏死区域内也可见这一表现。免疫组化CD68、CD163弥漫、强阳性,证实相关细胞为组织细胞来源。特殊染色中未见分枝杆菌、真菌;未见肉芽肿;未见非典型或恶性表现。免疫组化S100阴性,排除了颗粒细胞瘤和朗格汉斯细胞组织细胞增生症。综合上述结果,本例报告为软组织软斑病。术后顺利康复;1年后随访,无症状,无肿胀或相关并发症。

图2. (A)送检标本,图示18*10*5cm的囊性肿物,内表面光滑、黄棕色;(B、C)片状组织细胞,伴M-G小体(黑色箭头所示);(D)PAS染色,组织细胞的胞质内有阳性颗粒,且可见有致密核心的靶环样M-G小体(黑色箭头所示)

图3. 免疫组化检测,CD68(左)和CD163(右)弥漫、强阳性。
小结
软斑病是罕见的炎症性病变,其临床表现为形成质软、黄棕色的斑块。虽然该病最常见于泌尿生殖道,但也有其他部位和系统的报道;后者最常见于胃肠道。2023年有文献报道了发生于骶前部位的软斑病,表明在软组织肿物的鉴别诊断中也需考虑到软斑病可能。
从组织形态学角度来说,软斑病要注意和诸多伴组织细胞增生的病种进行鉴别,甚至文献中有一例舌部软斑病类似软组织肉瘤的报道。因此实际工作中可能需要详尽的组织病理学检查、并加做特殊染色和免疫组化来排除诸多肿瘤性、非肿瘤性病变。

表1:软斑病鉴别诊断概述
参考w
Arwikar A, Shetty D, Sharan A. A Rare Lesion of Soft Tissue Malakoplakia Mimicking Neoplasm in the Thigh.Int J Surg Pathol. 2025;33(6):1445-1449.
doi:10.1177/10668969241311513