
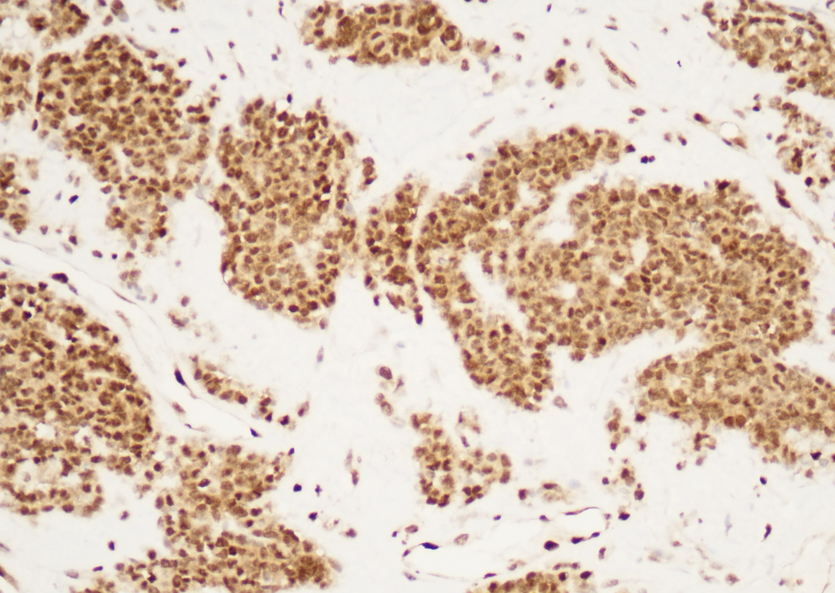
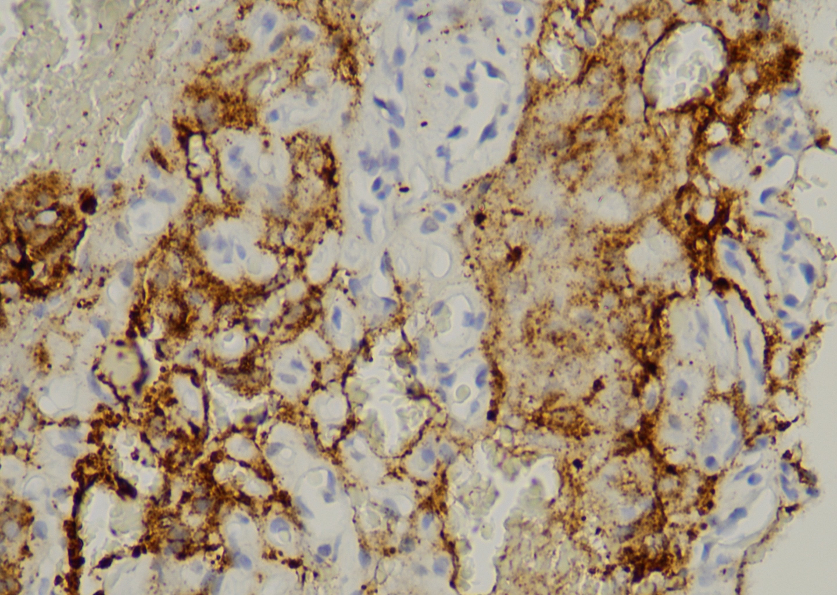
Fascin
Fascin(束蛋白)是一种分子量为55~58kDa 的肌动蛋白结合蛋白,与有丝分裂中微丝的形成有关。主要 表达于各种树突状细胞和淋巴窦内皮细胞。Fascin可用于霍奇金淋巴瘤、朗格汉斯细胞组织细胞增生症的诊断。
参数
| 样本要求 | 福尔马林固定,石蜡包埋的组织切片;丙酮固定的冷冻切片 |
|---|---|
| 免疫原 | 人Fascin合成肽 |
| 细胞定位 | 细胞质 |
| 主要成分 | 鼠抗人Fascin免疫组化单克隆抗体,0.01M PBS,1%BSA,0.05%ProClin300 |
| 储存条件 | 2-8℃ |
| 有效期 | 24个月 |
| 规格(手工工作液) | 3mL/瓶;6mL/瓶 |
您需要任何帮助?
我们会尽快为您解决