来源:上海复旦临床病理诊断中心
卵巢透明细胞癌并不常见,在卵巢上皮性恶性肿瘤中占比仅约12%,但却是第二常见的卵巢癌类型。该肿瘤大部分发生于子宫内膜异位症的情况下,常见于子宫内膜异位囊肿中。最近,英国病理医师Karunadhas等人在《Am J Surg Pathol》杂志报道了6例形态学和免疫组化都符合透明细胞癌、但仅累及子宫内膜异位囊肿的衬覆上皮而并无周围间质浸润的病例,并对这类“早期”透明细胞增生的病理报告提出了实用性建议。为帮助大家更好的了解相关知识点,我们将该文要点编译介绍如下。
病例展示:
该组病例来自作者所在单位及日常会诊。临床特征方面,患者年龄29-63岁不等,平均45岁。4例发生于左侧卵巢,剩余2例未明确侧别。所有病例临床均考虑为卵巢子宫内膜异位囊肿。术后未做进一步治疗。有随访信息(具体随访时间2-24个月)的5个病例中,均无肿瘤复发。
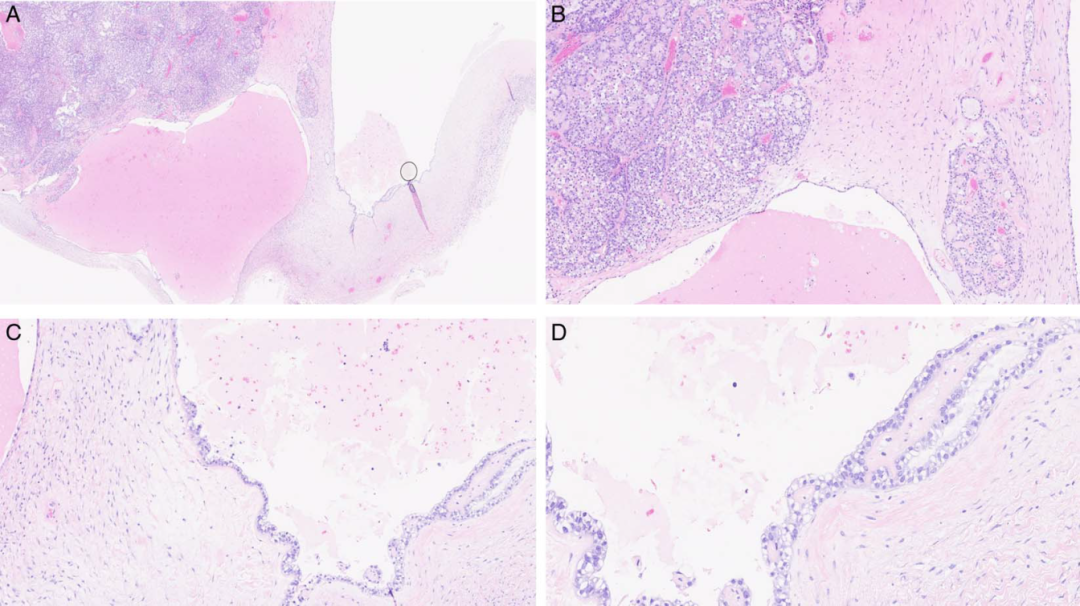
大体表现方面,所有病例的卵巢囊肿内容物均为出血性;有大小信息的病例中,从47mm到140mm不等。组织学上,所有病例均可见卵巢子宫内膜异位囊肿,局灶衬覆子宫内膜样上皮、下方可见子宫内膜样间质和吞噬色素的巨噬细胞。部分区域的衬覆上皮缺失,由含铁血黄素及机化纤维组织衬覆。
所有病例中,均可见囊肿内衬上皮局灶性为细胞核具有非典型的细胞组成,偶见鞋钉样形态,胞质呈透明或嗜酸性。增强的区域部分为单层上皮,但所有病例中均存在显著的上皮多层表现,有时伴假乳头状结构。所有病例中均偶见核分裂。这些非典型细胞均未见侵入周围卵巢间质的表现。该组病例的最初诊断结果不一,具体如子宫内膜异位症加描述性备注、囊内透明细胞癌、交界性透明细胞肿瘤、原位透明细胞癌等。

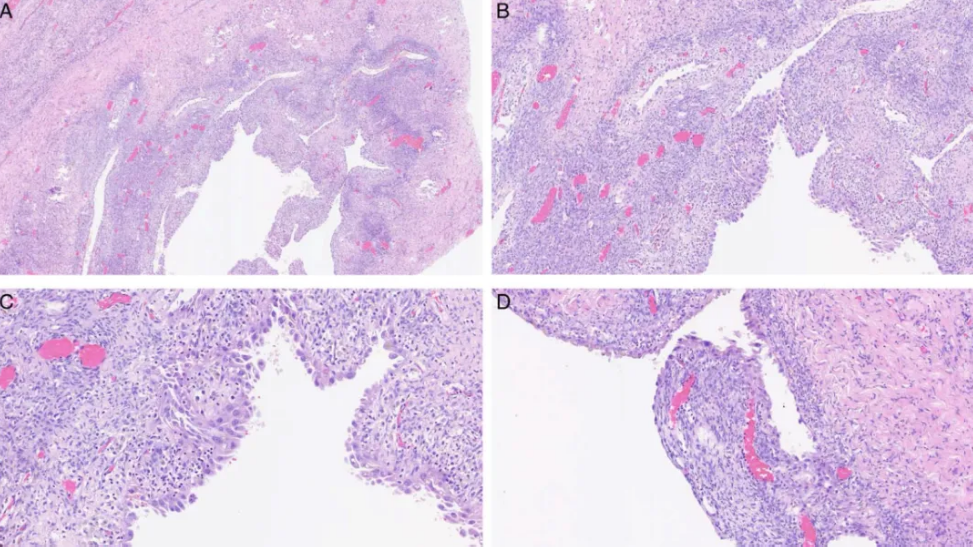
图1. 卵巢子宫内膜异位囊肿,高倍镜下可见衬覆上皮有非典型,部分呈靴钉样形态、胞质透明;局灶上皮复层表现。
图2. 卵巢子宫内膜异位囊肿,衬覆细胞具有非典型,胞质透明,上皮有一定程度的增生,可见小的假乳头状结构。
免疫组化方面,增生区阳性表达Napsin A(4例弥漫、2例局灶)、消旋酶(5/5,3例弥漫、2例局灶)、HNF1β(5/5,均为弥漫性)、ER(5/6,2例弥漫、3例局灶,均为弱阳性)、PAX8(3/3,均为弥漫性)。所有6个病例p53均为野生型;做了检测的病例中,WT1(n=4)和PR(n=6)均为阴性。3例做了微卫星不稳定相关检测的病例免疫组化结果均为阳性表达。有1例分子检测检出了MSH6的致病性亚型,但该例的MSH6免疫组化仍为阳性。
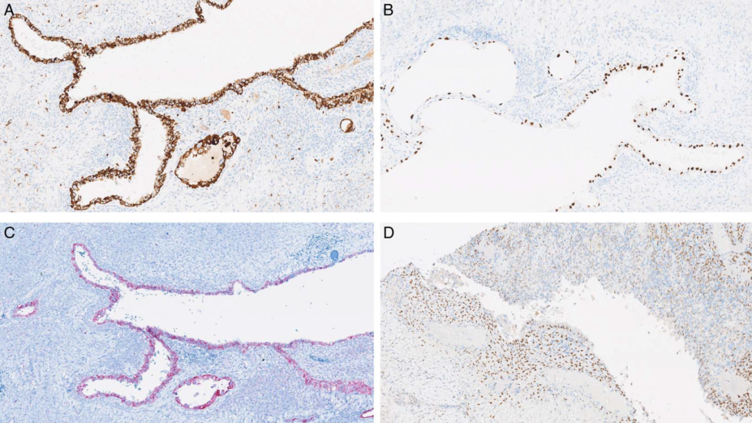
图3. 图示囊壁衬覆上皮弥漫阳性表达Napsin A(A)和HNF1β(B);ER局灶弱阳性(C),p53野生型着色(D)。
图4. 图示囊壁衬覆上皮弥漫阳性表达Napsin A(A)和HNF1β(B)、消旋酶(C);ER局灶阳性(D)。
小结:子宫内膜异位症属于极为常见的病种,尤其育龄期女性。卵巢子宫内膜异位症的恶变风险约1%;具有子宫内膜异位症的女性发生卵巢癌的绝对风险增加2-3倍。这种情况下发生的恶性肿瘤最常见为透明细胞癌或子宫内膜样癌,当然可以其他类型的恶性肿瘤,具体如中肾样腺癌。这类肿瘤可以统称为子宫内膜异位症相关肿瘤。
本文报道的6例卵巢透明细胞增生病例,病变多见于左侧卵巢,也和子宫内膜异位症更多见于左侧卵巢相符。该组病例从形态学及免疫组化方面都符合透明细胞癌,但仅累及卵巢的子宫内膜异位囊肿内衬上皮而未侵及周围间质。需要解释一下的是部分病例有ER的阳性表达,但一般为局灶性,且着色强度弱。其实本文原作者之一早就发表过文章:部分透明细胞癌中可以有ER的局灶、弱阳性,即发生于浆黏液性交界性肿瘤的小的透明细胞癌。因此,本文原作者认为,对于透明细胞癌来说,PR阴性可能要比ER阴性更为特异。
关于形态学和免疫组化都符合透明细胞癌、但仅累及子宫内膜异位囊肿的衬覆上皮而并无周围间质浸润的病例,其最佳命名可能有一定问题,目前文献中还没有相关建议。正如本文所述病例,最初的诊断也五花八门;还有人会将其诊断为非典型子宫内膜异位症。而如果仅将其诊断为透明细胞癌,则患者可能会接受进一步化疗。也有人将其命名为囊内或上皮内透明细胞癌,这就与卵巢黏液性肿瘤的命名有些相似了。还有的将其称为透明细胞交界性肿瘤。
本文原作者提出,对于这类透明细胞增生仅累及子宫内膜异位囊肿衬覆上皮的病变,可以称为原位透明细胞癌;只有病变侵犯囊壁之外间质的时候才称为透明细胞癌。当然,这一命名虽然有“原位”,但“癌”字的出现还是有可能会误导临床及患者从而进行辅助化疗、或对其分期产生误导。但本文原作者认为,通过在病理报告中加以澄清,说明这不是浸润性恶性肿瘤,加强病理医师与临床、临床医师与患者的沟通,可以解决这一问题。
当然,需要指出的是,对于这类病变,一定要广泛取材排除透明细胞癌侵犯囊壁之外卵巢间质的情况。一般来说都会对所有组织全部送检,尤其囊肿相对小的情况下。与本文所报道相似的透明细胞增生偶见于与伴透明细胞癌的子宫内膜异位囊肿中,这提示此类病变可能代表透明细胞癌的早期或前驱病变。
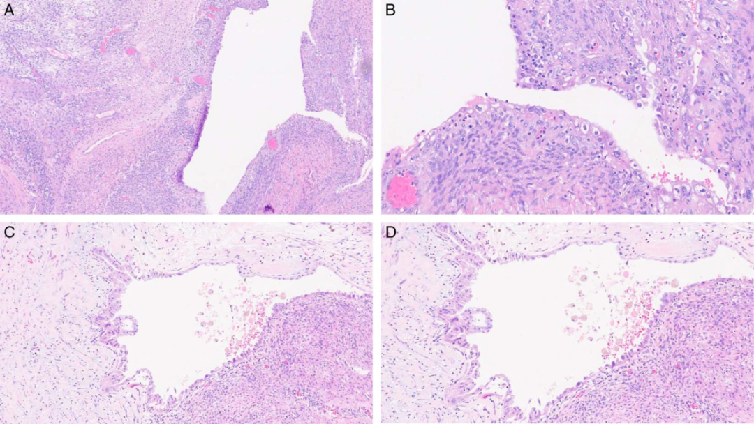
图5. (A、B)卵巢透明细胞癌,周围有衬覆单层细胞的子宫内膜异位囊肿;(C、D)高倍镜下,囊壁衬覆细胞的细胞核有非典型特征,胞质透明。
参考文献:
Karunadhas NS, Catherwood M, Stringfellow H, Arora R, McCluggage WG. "Early" Clear Cell Proliferations (Clear Cell Carcinoma in Situ) in Ovarian Endometriotic Cysts: Report of a Case Series With Recommendations for Terminology. Am J Surg Pathol. 2025;49(9):901-908. Published 2025 May 6.
doi:10.1097/PAS.0000000000002415